Scapholunate dissociation

From WikEM
Jump to: navigation, search

Background

  • Caused by rupture of scapholunate ligament
    • Most commonly injured ligament of the wrist
  • Injury most commonly occurs from FOOSH

Clinical Features

  • Pain/swelling on radial side of wrist
  • "Clicking" sensation with wrist movement

Evaluation

Imaging

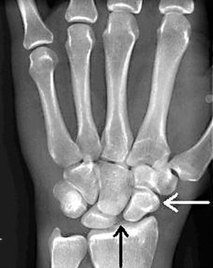
Black arrow: Scapholunate joint space widening; White arrow: Cortical ring sign
Dorsal intercalated segment instability
  • A grip compression view or wrist in ulnar deviation may be necessary in addition to PA/lateral views
  • Any of the following signs may be seen:
    • Widening of the scapholunate joint space >3mm
      • Know as Terry-Thomas sign (or David Letterman sign)
    • Rotary subluxation of the scaphoid
      • Lateral view: Scapholunate angle >60 degrees
      • PA view: Cortical ring sign (circular cortex of the bone is more prominent)
    • Dorsal intercalated segment instability
      • Dorsal angulation of lunate relative to radius resulting in capitolunate angle > 20°
      • Seen as loss of the normal collinear arrangement of the capitate, lunate, and radius

Differential Diagnosis

Carpal Dislocations

Carpal fractures

Management

Disposition

  • Generally outpatient follow-up

References