We need you! Join our contributor community and become a WikEM editor through our open and transparent promotion process.
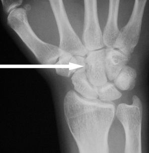
Capitate fracture
From WikEM
Contents
Background
- Isolated capitate fractures are rare (scaphoid is most common associated fracture)
- Occurs via forceful dorsiflexion of hand (FOOSH injury) with impact on radial side
- Proximal fracture fragment at risk for avascular necrosis
Clinical Features
- Diffuse swelling and tenderness over capitate (just proximal to 3rd metacarpal)
Imaging
- Plain films of hand
- Often overlooked due to accompanying scaphoid fracture or lunate/perilunate dislocation
Differential Diagnosis
Carpal fractures
- Scaphoid fracture
- Triquetrum fracture
- Lunate fracture
- Trapezium fracture
- Pisiform fracture
- Hamate fracture
- Capitate fracture
- Trapezoid fracture
Management
- Isolated capitate fracture requires forearm volar splint immobilization and early ortho referral
- Capitate fracture associated with scaphoid fracture or dislocations requires surgical treatment
Disposition
- Generally may be dishcarged

