We need you! Join our contributor community and become a WikEM editor through our open and transparent promotion process.
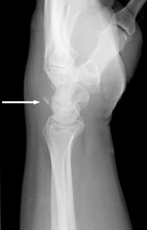
Triquetrum fracture
From WikEM
Contents
Background
- 3rd most common carpal bone injury (following scaphoid and lunate fractures)[1]
Mechanism of injury
- Avulsion Fracture: Twisting motion of hand is suddenly resisted
- Body Fracture: Direct trauma (commonly accompanied by lunate/perilunate dislocations)
Clinical Features
- Localized tenderness over dorsum of wrist in area immediately distal to ulnar styloid
- Evaluate for deep branch of ulnar nerve impairment[1]
Differential Diagnosis
Carpal fractures
- Scaphoid fracture
- Triquetrum fracture
- Lunate fracture
- Trapezium fracture
- Pisiform fracture
- Hamate fracture
- Capitate fracture
- Trapezoid fracture
Evaluation
- Lateral/oblique in partial pronation
- Best for seeing avulsion fracture (tiny flake of bone on dorsum of triquetrum)
- PA
- Best for seeing nondisplaced fracture
Management
Avulsion fracture
- Wrist splint (Forearm volar splint) x1-2wks
Body fracture
- Refer to orthopedist
- Stable: cast x 6wks
- Unstable (>1mm displacement): May require internal fixation
Disposition
- Outpatient

