Carpal fractures

From WikEM
Jump to: navigation, search

Background

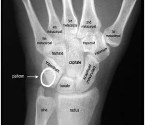
Carpal bones
Zone of Vulnerability
  • Scaphoid fractures account for 70% of all carpal fractures
  • Ulnar nerve damage associated with fractures of hamate or pisiform
  • 50% of pisiform fracture associated with injury to distal radius or other carpal bone
  • If bone fragment seen posterior to carpus on lateral, very likely triquetrum fracture

Fracture Types

Carpal fractures

Evaluation

AP view
Lateral view
  • Evaluate Zone of Vulnerability

See Also

Video

References