Monthly Case Studies - 2015
December 2015
December - 2015 - Case #409
A 42-year-old dairy farmer sought medical attention for watery diarrhea, fever, and nausea that he had been experiencing for about one week.
December - 2015 - Case #410
A 22-year-old man, who had traveled to Kenya for a month, developed fever, chills, and general weakness within four days after returning to the U.S.
November 2015
November - 2015 - Case #407
A 50-year-old male originally from Southeast Asia was undergoing chemotherapy for squamous cell carcinoma of the lung. He was admitted one week prior with nausea, vomiting, and confusion.
November - 2015 - Case #408
A 65-year-old man from rural Canada presented with pruritus on his chest; he mentioned that even with frequent bathing the symptoms persisted.
October 2015
October - 2015 - Case #405
A 31-year-old male presented with recurrent anal warts first noticed the summer of 2014. The warts were biopsied and diagnosed as low grade anal intraepithelial neoplasia (AIN1) in March 2015. Other symptoms included mild discomfort with defecation.
October - 2015 - Case #406
Stool specimens were collected from a 27-year-old girl from Chad as part of a refugee screening program. The stool was collected in 10% formalin and zinc PVA (Zn-PVA) and sent to the county health department for routine ova-and-parasite (O&P) examination.
September 2015
September - 2015 - Case #403
A 25-year-old male presented to the ER with complaints of dizziness, headache, ear pain, fever, chills, and malaise approximately one week after returning from a missionary trip to Ghana.
September - 2015 - Case #404
A 37-year-old primate research worker sought medical attention after nearly a week of abdominal discomfort, cramping, and diarrhea.
August 2015
August - 2015 - Case #401
A worm approximately three centimeters long was observed and removed during a routine colonoscopy of a 54-year-old man from Scandinavia. The worm was sent to the CDC-DPDx Team for identification.
August - 2015 - Case #402
A stool specimen was collected from a 28-year-old man from China as part of a refugee health screening program. The stool was collected in 10% formalin and a formalin-ethyl acetate (FEA) concentration was performed.
July 2015
July - 2015 - Case #399
A skin biopsy specimen was collected from the clavicle region of a 45-year-old male who presented with what appeared to be a pigmented lesion. The patient resides in Kentucky and has no known international travel.
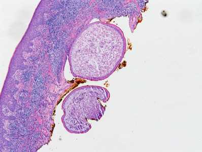
July - 2015 - Case #400
A ten-year-old boy presented at a local hospital with symptoms mimicking an appendicitis. An appendectomy was performed and biopsy specimens were sent to Pathology for routine histologic work-up.
June 2015
June - 2015 - Case #397
A worm-like object approximately 11 mm in length was recovered from a PEG site (percutaneous endoscopic gastrostomy) of a 68-year-old patient and submitted to the state health department for identification.
June - 2015 - Case #398
A 31-year-old construction worker, who did some contract work in Ghana for nine months, sought medical attention a few days after his return to the U.S. for recurring fever and chills.
May 2015
May - 2015 - Case #395
Stool specimens were collected from an asymptomatic 12-year-old boy from Myanmar as part of a refugee screening program. The stool was collected in 10% formalin and zinc PVA (Zn-PVA) and sent to the county health department for routine ova-and-parasite (O&P) examination.
May - 2015 - Case #396
A 72-year-old female with a past medical history of congestive heart failure, diabetes, and hypertension was admitted to a local hospital with complaints of progressive shortness of breath. After admission, she became hypoxic and was intubated and placed on mechanical ventilation support.
April 2015
April - 2015 - Case #393
A 59-year-old female immigrant presented at a local hospital with microcytic/hypochromic anemia and eosinophilia.
April - 2015 - Case #394
A 17-year-old female presented with a crusted nodule on her left cheek two months after traveling to Israel.
March 2015
March - 2015 - Case #391
A lab in India received an arthropod specimen from a parent whose child had been suffering for about a week with rashes over his extremities and back.
March - 2015 - Case #392
A 39-year-old male, originally from Fiji, presented to a hospital in Pohnpei, Federated States of Micronesia (FSM) with fever, chills, and head and body aches.
February 2015
February - 2015 - Case #389
A hunter presented with abdominal pain and fever, which later developed into difficulty breathing with a nonproductive cough and rash.
February - 2015 - Case #390
A 55-year-old refugee from the Democratic Republic of Congo demonstrated 23.9% eosinophilia with the presence of suspect microfilaria on Wright-Giemsa stained peripheral blood smears.
January 2015
January - 2015 - Case #387
A 71-year-old female presented to her health care provider with a nodule on her back. The nodule was removed and sent to Pathology for histological work-up.
January - 2015 - Case #388
A 42-year-old man with a history of living abroad in Peru for a year returned home to the United States. He reported to his health care provider that he had been experiencing vague intermittent abdominal discomfort.
DPDx is an education resource designed for health professionals and laboratory scientists. For an overview including prevention and control visit www.cdc.gov/parasites/.
- Page last reviewed: December 13, 2016
- Page last updated: December 13, 2016
- Content source:
- Global Health – Division of Parasitic Diseases and Malaria
- Notice: Linking to a non-federal site does not constitute an endorsement by HHS, CDC or any of its employees of the sponsors or the information and products presented on the site.
- Maintained By:
ShareCompartir