Case #403 - September 2015
A 37-year-old primate research worker sought medical attention after nearly a week of abdominal discomfort, cramping, and diarrhea. Stool specimens were collected over three days in 10% formalin and zinc polyvinyl alcohol (Zn-PVA) and sent to a commercial lab for routine ova-and-parasite (O&P) testing. Figures A-E show what was observed in moderate numbers on trichrome-stained slide prepared from the Zn-PVA specimens. The objects measured 17 micrometers on average across their greatest widths. What is your diagnosis? Based on what criteria?
Figure A
Figure B
Figure C
Figure D
Case Answer
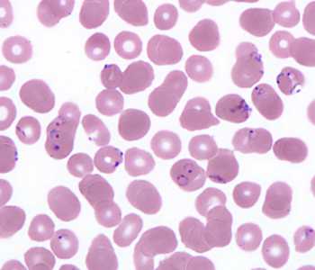
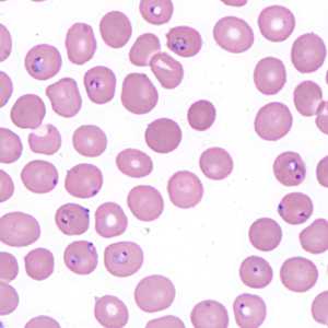
This was a case of severe malaria caused by Plasmodium falciparum. Diagnostic morphologic features included:
- normal-sized infected red blood cells (RBCs).
- ring-form trophozoites with thin, delicate cytoplasm and (occasionally) double chromatin dots.
- multiply-infected RBCs.
- appliqué forms.
- a high parasitemia lacking other stages.
- presence of pigment (which ruled-out Babesia sp.)
More on: malaria
Images presented in the monthly case studies are from specimens submitted for diagnosis or archiving. On rare occasions, clinical histories given may be partly fictitious.
DPDx is an education resource designed for health professionals and laboratory scientists. For an overview including prevention and control visit www.cdc.gov/parasites/.
- Page last reviewed: August 24, 2016
- Page last updated: August 24, 2016
- Content source:
- Global Health – Division of Parasitic Diseases and Malaria
- Notice: Linking to a non-federal site does not constitute an endorsement by HHS, CDC or any of its employees of the sponsors or the information and products presented on the site.
- Maintained By:
ShareCompartir