Skip directly to search Skip directly to A to Z list Skip directly to navigation Skip directly to page options Skip directly to site content
bannermenu

Case #405 - October 2015

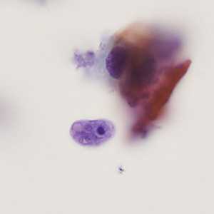
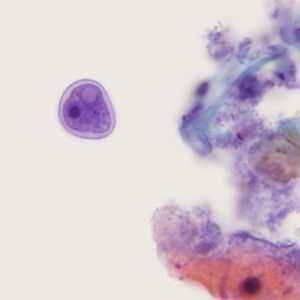
A 31-year-old male presented with recurrent anal warts first noticed the summer of 2014. The warts were biopsied and diagnosed as low grade anal intraepithelial neoplasia (AIN1) in March 2015. Other symptoms included mild discomfort with defecation. In September 2015, an anal Pap smear was performed and stained with Papanicolau. Figures A-E show what was observed by the attending pathologist. The objects of interest ranged in size from 7-15 micrometers. What is your diagnosis? Based on what criteria?

	Case405_A

Figure A

	Case405_B

Figure B

	Case405_C

Figure C

	Case405_D

Figure D

	Case405_E

Figure E

Case Answer

The images in this case demonstrated the nonpathogenic intestinal amoeba, Iodamoeba buetschlii. Diagnostic morphologic features included the presence of cysts within the size range (5-20 micrometers) for the species. Several of the cysts demonstrated the characteristic glycogen vacuole (Figures A-D), in addition to a single nucleus with a large karyosome.

More on: Intestinal Amoebae

This case and images were kindly provided by the Department of Pathology and Laboratory Medicine, New York-Presbyterian/Weill Cornell Medical Center, New York, NY.

Images presented in the monthly case studies are from specimens submitted for diagnosis or archiving. On rare occasions, clinical histories given may be partly fictitious.

DPDx is an education resource designed for health professionals and laboratory scientists. For an overview including prevention and control visit www.cdc.gov/parasites/.

  • Page last reviewed: August 24, 2016
  • Page last updated: August 24, 2016
  • Content source:
  • Maintained By:
Top