Skip directly to search Skip directly to A to Z list Skip directly to navigation Skip directly to page options Skip directly to site content
bannermenu

Case #410 - December 2015

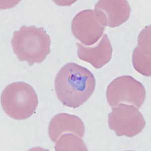
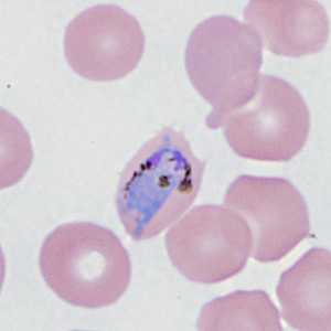
A 22-year-old man, who had traveled to Kenya for a month, developed fever, chills, and general weakness within four days after returning to the U.S. He sought medical attention at a local hospital and admitted to not being fully compliant with taking his anti-malarial medication. Blood smears were ordered, stained with Wright-Giemsa stain, and examined at 1000x magnification with oil. Figures A-I show what was observed on a stained thin smear.  What is your diagnosis? Based on what criteria?

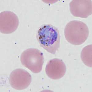
	Case410_A

Figure A

	Case410_B

Figure B

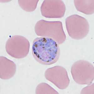
	Case410_C

Figure C

	Case410_D

Figure D

	Case410_E

Figure E

	Case410_F

Figure F

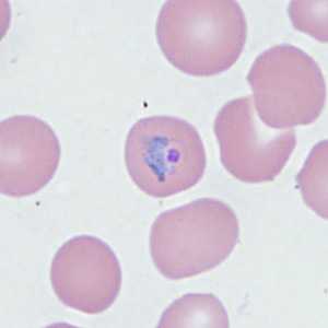
	Case410_G

Figure G

	Case410_H

Figure H

	Case410_I

Figure I

Case Answer

This was a case of malaria caused by Plasmodium ovale. Diagnostic morphologic features shown included:

  • sturdy, compact developing trophozoites in normal to slightly-enlarged RBCs (Figures A, B, and E).
  • gametocytes with coarse pigment (Figures C, D, F, H, and I).
  • an immature schizont with coarse pigment (Figure G).
  • infected RBCs that demonstrated elongation and fimbriation (Figures A, C, F, G and I).

In addition to the morphologic features mentioned above, the travel to Kenya was also supportive. Schüffner’s stippling was not observed in any of the infected RBCs because the smears were stain with Wright-Giemsa stain. This case highlights the importance of using Giemsa stain, at a pH at or near 7.2, in helping to ensure an accurate identification is made.

More on: Malaria

DPDx is an education resource designed for health professionals and laboratory scientists. For an overview including prevention and control visit www.cdc.gov/parasites/.

  • Page last reviewed: August 24, 2016
  • Page last updated: August 24, 2016
  • Content source:
  • Maintained By:
Top