We need you! Join our contributor community and become a WikEM editor through our open and transparent promotion process.
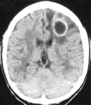
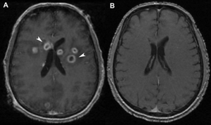
Ring-enhancing lesion
From WikEM
Contents
Background
- CT or MRI with lesions having an enhancing ring of contrast around a less dense center can indicate certain neurological infections, injuries, and indolent disorders
- Immune status of patients is key in helping to narrow potential causative agents
Clinical Features
- Clinical presentation can vary from asymptomatic to focal neurodeficits to coma
Differential Diagnosis
Ring-Enhancing Lesion
Common Mnemonic: DR MAGIC
- Demyelination
- Radionecrosis/hematoma
- Metastasis
- Abscess (consider bacterial, fungal, parasitic)
- Glioma (and other primary neoplasms such as lymphoma)
- Infarction
- Contusion
HIV and ring-enhancing lesion(s)
- Toxoplasmosis v. lymphoma (see comparison of characteristics at Radiopaedia.org.)
Neoplasm
- Primary brain tumor
- Primary CNS lymphoma
- Metastatic disease
Infectious
- Pyogenic Abscess
- Tuberculoma
- Toxoplasmosis
- Syphilis
- Neurocysticercosis
- Nocardiosis
- Cyptococcocus
- Aspergillosis
Neurologic
- Multiple Sclerosis
- Sarcoidosis
- Vasculitis
- Aneurysm
- Resolving hematoma
- Cerebral infarct
- Post-op changes
Evaluation
- Ring-enhancing lesion is a radiologic diagnosis
- Workup must be directed towards presentation, comorbidities, and risk factors
Management
- Focused treatment plan based on etiology
Disposition
- Typically require admission for further work up


