We need you! Join our contributor community and become a WikEM editor through our open and transparent promotion process.
File:Ring enhancing lesion on MRI.png
From WikEM
Ring_enhancing_lesion_on_MRI.png (512 × 303 pixels, file size: 129 KB, MIME type: image/png)
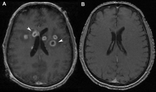
Ring enhancing lesions on MRI T1 and T2 weighted images of brain abscesses
File history
Click on a date/time to view the file as it appeared at that time.
| Date/Time | Thumbnail | Dimensions | User | Comment | |
|---|---|---|---|---|---|
| current | 11:27, 30 July 2016 | ![]() | 512 × 303 (129 KB) | Neil.m.young (Talk | contribs) | Ring enhancing lesions on MRI T1 and T2 weighted images of brain abscesses |
- You cannot overwrite this file.
File usage
The following page links to this file:


