We need you! Join our contributor community and become a WikEM editor through our open and transparent promotion process.
Pneumomediastinum
From WikEM
Contents
Background
- Also known as mediastinal emphysema
- Definition: presence of free air in the mediastinum
- Can be Spontaneous or secondary (to violation of aerodigestive tract)[1]
- Spontaneous pneumomediastinum usually occurs due to sudden increase in intra-alveolar pressure causing alveolar rupture → air dissects into pulmonary interstitium and then into mediastinum, neck, or pericardium[2]
- Life threatening causes include esophageal rupture or tension pneumothorax
Causes
- Primary (spontaneous) pneumomediastinum
- Asthma/COPD (Spontaneous or secondary to forceful coughing in the setting of bronchospasm) - most common co-morbidity[1]
- Recreational drug use (via inhalation) - cocaine, methamphetamine, marijuana[3]
- Hydrocarbon inhalation
- Influenza A[2]
- Environmental pulmonary barotrauma (e.g. scuba diving, flight)
- Bowel rupture or other cause of air in abdominal cavity (tracts up into the chest)
- Mycoplasma pneumoniae pneumonia
- Esophageal rupture (rare)
- Secondary pneumomediastinum
- Iatrogenic - e.g. thoroscopy, VATS, bronchoscopy, colonoscopy or endoscopy
- Blast injury
- Thoracic trauma
Clinical Features
- Chest pain
- Dyspnea
- Subcutaneous emphysema, especially of face, neck, and chest.[4]
- Voice change, cough, stridor
- "Crunching" sound on auscultation during systole (Hamman's crunch)
- Severe cases (generally after trauma) may mimic cardiac tamponade[5][6]
Differential Diagnosis
Chest pain
Critical
- Acute Coronary Syndromes
- Aortic Dissection
- Cardiac Tamponade
- Pulmonary Embolism
- Tension Pneumothorax
- Boerhhaave's Syndrome
- Coronary Artery Dissection
Emergent
- Pericarditis
- Myocarditis
- Pneumothorax
- Mediastinitis
- Cholecystitis
- Pancreatitis
- Cocaine-associated chest pain
Nonemergent
- Stable angina
- Asthma exacerbation
- Valvular Heart Disease
- Aortic Stenosis
- Mitral valve prolapse
- Hypertrophic cardiomyopathy
- Pneumonia
- Pleuritis
- Tumor
- Pneumomediastinum
- Esophageal Spasm
- Gastroesophageal Reflux Disease (GERD)
- Peptic Ulcer Disease
- Biliary Colic
- Muscle sprain
- Rib Fracture
- Arthritis
- Chostochondirits
- Spinal Root Compression
- Thoracic outlet syndrome
- Herpes Zoster / Postherpetic Neuralgia
- Psychologic / Somatic Chest Pain
- Hyperventilation
- Panic attack
Thoracic Trauma
- Airway/Pulmonary
- Cardiac/Vascular
- Musculoskeletal
- Other
- Esophageal injury or Perforation
- Pneumomediastinum
- Traumatic asphyxia
Evaluation
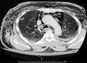
- CT Chest (preferred diagnostic test)
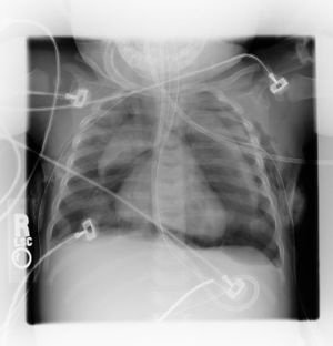
- CXR
- AP/PA - Ring around right pulmonary artery, air along left heart border, air in upper chest/neck soft tissue
- Lateral - air along anterior heart border
- Lateral neck - may see mediastinal air in neck
- 30% with spontaneous pneumomediastinum will have normal CXR[1]
Management
- Supportive care[3]
- Pneumomediastinum typically reabsorbs over 1-2 weeks.
- Treat underlying cause, if identified
Disposition
- Spontaneous pneumomediastinum
- Secondary pneumomediastinum[9]
- Most cases are benign, but a minority of cases require additional testing and intervention.
- Have lower threshold for additional testing and admission.
See Also
External Links
References
- ↑ 1.0 1.1 1.2 1.3 Bakhos CT, Pupovac SS, Ata A, et al. Spontaneous pneumomediastinum: an extensive workup is not required. J Am Coll Surg. 2014 Oct;219(4):713-7. doi: 10.1016/j.jamcollsurg.2014.06.001.
- ↑ 2.0 2.1 Niehaus M, Rusgo A, Roth K, Jacoby JL. Retropharyngeal air and pneumomediastinum: a rare complication of influenza A and asthma in an adult. Am J Emerg Med. 2015 Jun 14. pii: S0735-6757(15)00495-7. doi: 10.1016/j.ajem.2015.06.020.
- ↑ 3.0 3.1 Johnson JN, Jones R, Wills BK. Spontaneous Pneumomediastinum. Western Journal of Emergency Medicine. 2008;9(4):217-218.
- ↑ Quresi SA, Tilyard A (2008). "Unusual Presentation of Spontaneous Mediastinum: A Case Report". Cases Journal 1:349. doi:10.1186/1757-1626-1-349
- ↑ Beg MH, Reyazuddin, Ansari MM (1988). "Traumatic tension Pneumomediastinum Mimicking Cardiac Tamponade". Thorax 43:576-677. doi: 10.1136/thx.43.7.576.
- ↑ Jennings S, Peeceeyen S, Horton M. Tension pneumomediastinum after blunt chest trauma. ANZ J Surg. 2015 Jan;85(1-2):90-1. doi: 10.1111/ans.12378.
- ↑ Fitzwater JW, Silva NN, Knight CG, et al. Management of spontaneous pneumomediastinum in children. J Pediatr Surg. 2015 Jun;50(6):983-6. doi: 10.1016/j.jpedsurg.2015.03.024.
- ↑ Smith BA, Ferguson DB. Disposition of spontaneous pneumomediastinum. Am J Emerg Med. 1991 May;9(3):256-9.
- ↑ de Virgilio C, Kim DY. Pneumomediastinum Following Blunt Trauma: Are We Closer to Unlocking Its Significance? JAMA Surg. 2015 Jun 24. doi: 10.1001/jamasurg.2015.1146.



