We need you! Join our contributor community and become a WikEM editor through our open and transparent promotion process.
Esophageal perforation
From WikEM
(Redirected from Boerhaave's)
Contents
Background
- Full thickness perforation of the esophagus
- Secondary to sudden increase in esophageal pressure
Causes
- Iatrogenic
- Boerhaave syndrome
- Thoracic Trauma
- Penetrating
- Blunt (rare)
- Caustic ingestion
- Foreign body
- Bone, button battery
- Infection (rare)
- Tumor
- Aortic pathology
- Barrett esophagus
- Zollinger-Ellison syndrome
Clinical Features
- Mackler’s triad of chest pain, vomiting and subcutaneous emphysema is pathognomonic for Boerhaave syndrome
History
- Pain
- Acute, severe, unrelenting, diffuse
- May be localized to chest, neck, abdomen; radiate to back and shoulders
- Occurs suddenly after foreceful vomiting
- Dysphagia
- Dyspnea
- Hematemesis
Physical Exam
- Cervical subcutaenous emphysema
- Mediastinal emphysema
- Takes time to develop
- Absence does not rule out perforation
- Hamman's sign - crunching sound during heart beat
Differential Diagnosis
Chest pain
Critical
- Acute Coronary Syndromes
- Aortic Dissection
- Cardiac Tamponade
- Pulmonary Embolism
- Tension Pneumothorax
- Boerhhaave's Syndrome
- Coronary Artery Dissection
Emergent
- Pericarditis
- Myocarditis
- Pneumothorax
- Mediastinitis
- Cholecystitis
- Pancreatitis
- Cocaine-associated chest pain
Nonemergent
- Stable angina
- Asthma exacerbation
- Valvular Heart Disease
- Aortic Stenosis
- Mitral valve prolapse
- Hypertrophic cardiomyopathy
- Pneumonia
- Pleuritis
- Tumor
- Pneumomediastinum
- Esophageal Spasm
- Gastroesophageal Reflux Disease (GERD)
- Peptic Ulcer Disease
- Biliary Colic
- Muscle sprain
- Rib Fracture
- Arthritis
- Chostochondirits
- Spinal Root Compression
- Thoracic outlet syndrome
- Herpes Zoster / Postherpetic Neuralgia
- Psychologic / Somatic Chest Pain
- Hyperventilation
- Panic attack
Thoracic Trauma
- Airway/Pulmonary
- Cardiac/Vascular
- Musculoskeletal
- Other
- Esophageal injury or Perforation
- Pneumomediastinum
- Traumatic asphyxia
Evaluation
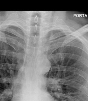
Imaging[1]
- CXR: 90% will have radiographic abnormalities, nonspecific in nature
- Pneumomediastinum
- Abnormal cardiomediastinal contour
- Pneumothorax
- Pleural effusion
- CT chest: may show pneumomediastinum, but will not show perforation
- Esophagram with water soluble contrast for definitive diagnosis
- Emergent endoscopy, but may worsen the tear during insufflation
Management
- Volume resuscitation
- Broad-spectrum IV antibiotics
- Emergent surgical consultation
See Also
References
- ↑ Hess JM, Lowell MJ: Esophagus, Stomach and Duodenum, in Marx JA, Hockberger RS, Walls RM, et al (eds): Rosen’s Emergency Medicine: Concepts and Clinical Practice, ed 7. St. Louis, Mosby, Inc., 2010, (Ch) 89: p 1170-1187

