Skip directly to search Skip directly to A to Z list Skip directly to page options Skip directly to site content

Prion diseases or transmissible spongiform encephalopathies (TSEs) are a family of rare progressive neurodegenerative disorders that affect both humans and animals. They are distinguished by long incubation periods, characteristic spongiform changes associated with neuronal loss, and a failure to induce inflammatory response.

The causative agents of TSEs are believed to be prions. The term “prions” refers to abnormal, pathogenic agents that are transmissible and are able to induce abnormal folding of specific normal cellular proteins called prion proteins that are found most abundantly in the brain. The functions of these normal prion proteins are still not completely understood. The abnormal folding of the prion proteins leads to brain damage and the characteristic signs and symptoms of the disease. Prion diseases are usually rapidly progressive and always fatal.

Identified Prion Diseases

Listed below are the prion diseases identified to date. CDC does not currently offer information on every prion disease listed below.

Human Prion Diseases

Animal Prion Diseases

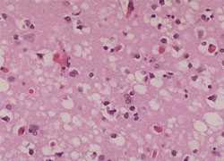
CJD (Creutzfeldt-Jakob Disease, Classic)

This tissue slide shows sponge-like lesions in the brain tissue of a classic CJD patient.

Classic CJD is a human prion disease. It is a neurodegenerative disorder with characteristic clinical and diagnostic features.

More

vCJD (Variant Creutzfeldt-Jakob Disease)

Image of scientist performing test.

vCJD has a different clinical and pathologic characteristics from classic CJD. Each disease also has a particular genetic profile of the prion protein gene.

More

BSE (Bovine Spongiform Encephalopathy)

Image of a herd of cows.

BSE also known as Mad Cow Disease is a progressive neurological disorder of cattle that results from infection by an unusual transmissible agent called a prion.

More

CWD (Chronic Wasting Disease)

Herd of elk.

CWD is a prion disease that affects deer, elk and moose in some areas of North America, South Korea and Norway. In North America, it has been found in both free-ranging and captive deer populations.

More

BSE/TSE Action Plan

BSE/TSE Action Plan of the Department of Health and Human Services (DHHS) has four major components:

For additional information, see the August 23, 2001 HHS press release, HHS Launches Expanded Plan to Combat “Mad Cow Disease”.

TOP