Skip directly to search Skip directly to A to Z list Skip directly to page options Skip directly to site content

Classic CJD is a human prion disease. It is a neurodegenerative disorder with characteristic clinical and diagnostic features. This disease is rapidly progressive and always fatal. Infection with this disease leads to death usually within 1 year of onset of illness.

Creutzfeldt-Jakob disease (CJD) is a rapidly progressive, invariably fatal neurodegenerative disorder believed to be caused by an abnormal isoform of a cellular glycoprotein known as the prion protein. CJD occurs worldwide and the estimated annual incidence in many countries, including the United States, has been reported to be about one case per million population.

Important Note: Classic CJD is not related to "mad cow" disease. Classic CJD also is distinct from "variant CJD", another prion disease that is related to BSE.

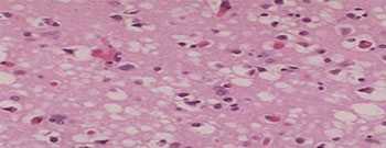
This tissue slide shows sponge-like lesions in the brain tissue of a classic CJD patient.

This tissue slide shows sponge-like lesions in the brain tissue of a classic CJD patient.

TOP