Skip directly to search Skip directly to A to Z list Skip directly to navigation Skip directly to page options Skip directly to site content

Occupational Dermatoses

NOTE: This page is archived for historical purposes and is no longer being maintained or updated.

Slides 129 to 135

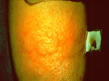
Slide 129 - Shoe Dermatitis

  	Slide 129 - Shoe Dermatitis

Plant dermatitis is common among landscapers, nurserymen and forestry workers. The morphologic pattern is helpful in determining the offending agent. Microvesicular dermatitis suggests allergic contact dermatitis, such as poison ivy dermatitis. Photodistributed or streaky macular erythema suggests a phytophotodermatitis, such as lime, fig or meadow parsnip dermatitis. Agave dermatitis is seen among landscapers who come in contact with the juice from the leaves of the agave plant. Agave dermatitis is an irritant contact dermatitis, resulting in varying degrees of epithelial and vascular necrosis. The vascular necrosis results in purpura.

Slide 130 - Clothing Dermatitis

  	SLIDE 130 - Clothing Dermatitis

Clothing dermatitis is commonly the result of permanent press finishes used in the manufacture of uniforms and other clothing items. Detergents and fabric softeners result in a similar pattern of dermatitis. The axillary vault is typically spared, with dermatitis involving the rim of the axilla.

Slide 131 - Elastic Dermatitis (allergy to bleached rubber)

  	SLIDE 131 - Elastic Dermatitis (allergy to bleached rubber)

Elastic dermatitis is commonly the result of allergy to bleached rubber. The offending allergen is formed by the interaction of chlorine bleach and a carba compound in the elastic. Non-chlorine bleach is safe, but all elastic garments bleached with chlorine bleach must be discarded.

Slide 132 - Contact Allergy to Computer Keyboard Wrist Rests

  	SLIDE 132 - Contact Allergy to Computer Keyboard Wrist Rests

Contact allergy to computer keyboard wrist rests is generally an allergy to a thiuram accelerator used in manufacture of the synthetic neoprene rubber.

Slide 133 - Contact Urticaria Syndrome to Raw Fish

  	SLIDE 133 - Contact Urticaria Syndrome to Raw Fish

Most allergic contact dermatitis becomes evident 48 hours after contact with the offending allergen. Contact urticaria syndrome is an exception to this rule. Manifestations include immediate burning, itching, swelling or vesiculation. The reaction commonly occurs within minutes of exposure. Implicated allergens are generally proteins. This patient experienced immediate vesiculation when contacting proteins in raw fish.

Slide 134 - Raw Fish Reaction

  	SLIDE 134 - Raw Fish Reaction

Immediate reaction to epicutaneous patch test with raw fish. Cooking denatures the implicated proteins, therefore cooked fish did not evoke a reaction. Severe reactions may be associated with symptoms of anaphylaxis. Anaphylaxis may occur during testing, and the physician should be prepared to treat anaphylactic reactions.

Slide 135 - Cashew Nut

  	SLIDE 135 - Cashew Nut

Cashew shell oil may contaminate processed cashew nuts and result in contact dermatitis. The oil is used to manufacture brake linings and clutch facings, and the finished products may remain allergenic.

Top