Skip directly to search Skip directly to A to Z list Skip directly to navigation Skip directly to page options Skip directly to site content

Occupational Dermatoses

NOTE: This page is archived for historical purposes and is no longer being maintained or updated.

Slides 51 to 55

Slide 51 - Ultraviolet cured processes

  	SLIDE 51 - Ultraviolet cured processes 
The technology of using ultraviolet light sensitive chemicals is relatively new in creating templates for printing. It is also being used in the manufacture of certain printing inks and in dentistry. Various acrylates have been the sensitizers in this process.

 

Slide 52 - Photosensitivity

  	SLIDE 52 - Photosensitivity 
Many chemicals need light to activate and produce the complete phototoxin or photoallergen. The furocoumarins in limes produced this vesicular phototoxic dermatitis in a bartender who squeezed limes all afternoon in direct sun.

 

 

Slide 53 - Contact urticaria - Latex Rubber

  	SLIDE 53 - Contact urticaria - Latex Rubber 
Contact urticaria is an important manifestation of natural rubber latex allergy. Workers exposed to latex gloves and other products containing natural rubber latex may develop allergic reactions such as skin rashes; hives (contact urticaria); nasal eye or sinus symptoms; asthma; and (rarely) shock.

 

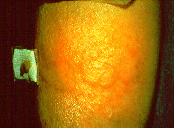
Slide 54 - Contact urticaria - Raw Fish

  	SLIDE 54 - Contact urticaria - Raw Fish 
A person who developed immediate clinical contact urticaria demonstrates a positive provocative open epicutaneous patch test to fish. The observation time to read the test is shortly after application, as opposed to the two to four day interval between testing and reading in delayed hypersensitivity contact dermatitis.

 

Slide 55 - Tar and sunlight hyperpigmentation

This photo was removed due to privacy concerns.

Chronic exposure to tar and sunlight caused the marked hyperpigmentation in this Caucasian pipeline worker. The occupational photosensitizing chemicals most well the action spectrum lies in the long wave ultraviolet and visible light. Such derivatives include anthracene, phenanthrene, creosote and certain dyes. Coal tar products are used in roofing, pipeline and road construction, wood preservation and may other processes.

Top