Physiology
Textbooks
Boundless Anatomy and Physiology
Physiology Textbooks Boundless Anatomy and Physiology
Physiology Textbooks
Physiology

Chapter 22

Digestive System

Book Version 29
By Boundless
Boundless Anatomy and Physiology
Physiology
by Boundless
View the full table of contents
Section 1
Overview of the Digestive System
Thumbnail
Anatomy of the Digestive System

The human gastrointestinal tract refers to the stomach and intestine, and sometimes to all the structures from the mouth to the anus.

Thumbnail
Processes and Functions of the Digestive System

Digestion is necessary for absorbing nutrients from food, and occurs through two processes: mechanical and chemical digestion.

Thumbnail
Organs of the Digestive System

The organs of the digestive system can be divided into upper and lower digestive tracts. The upper digestive tract consists of the esophagus, stomach, and the small intestine, while the lower tract includes all of the large intestine, the rectum, and anus.

Section 2
Nervous System of the Digestive System
Thumbnail
Enteric Nervous System

The enteric nervous system (ENS) is a subdivision of the autonomic nervous system (ANS) that directly controls the gastrointestinal system.

Thumbnail
Gastrointestinal Reflex Pathways

The digestive system functions via a system of long reflexes, short reflexes, and extrinsic reflexes from gastrointestinal (GI) peptides working together.

Section 3
The Peritoneum
Thumbnail
The Peritoneum

The peritoneum, the serous membrane that forms the lining of the abdominal cavity, covers most of the intra-abdominal organs.

Section 4
The Alimentary Canal
Thumbnail
Mouth

The mouth is the first portion of the alimentary canal, which receives and mechanically breaks down food, and produces saliva.

Thumbnail
Pharynx

The pharynx is part of the digestive and respiratory systems and consists of three main parts: nasopharynx, oropharynx, and laryngopharynx.

Thumbnail
Esophagus

The esophagus is a muscular tube through which food passes from the pharynx via peristalsis to the stomach.

Section 5
Layers of the Alimentary Canal
Thumbnail
Mucosa

The mucosa is the innermost layer of the gastrointestinal (GI) tract, composed of simple epithelium cells. It is the absorptive and secretory layer of the GI tract.

Thumbnail
Submucosa

The submucosa is a dense irregular layer of connective tissue with large blood vessels, lymphatics, and nerves that supports the mucosa.

Thumbnail
Muscularis

The muscularis is responsible for segmental contractions and peristaltic movement in the gastrointestinal (GI) tract.

Thumbnail
Serosa

Serosa consists of a secretory epithelial layer and a thin connective tissue layer that reduce the friction from muscle movement.

Section 6
The Stomach
Thumbnail
Gross Anatomy of the Stomach

The stomach is divided into four sections, each of which has different cells and functions.

Thumbnail
Microscopic Anatomy of the Stomach

The layers of the stomach produce mucous to protect itself, enyzmes to break down the food for digestion, and muscles to 'churn' the food.

Thumbnail
Digestive Properties of the Stomach

The movement and the flow of chemicals into the stomach is controlled by the autonomic nervous system and various digestive system hormones.

Section 7
The Liver
Thumbnail
The Liver

The liver makes bile, which is essential for the digestion of fats.

Thumbnail
Anatomy of the Liver

The liver is located in the abdomen; it has four lobes.

Thumbnail
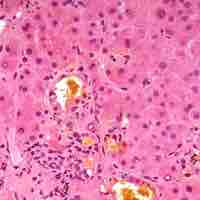
Histology of the Liver and Gallbladder

Hepatocytes are the main tissue cells of the liver; the gallbladder contains the mucosa, muscularis, perimuscular, and serosa layers.

Thumbnail
Blood Supply to the Liver

In the hepatic portal system, the liver receives a dual blood supply from the hepatic portal vein and hepatic arteries.

Thumbnail
Liver Function

The liver is thought to be responsible for up to 500 separate functions.

Thumbnail
Bile

Bile is a fluid produced by the liver that aids the process of digestion and absorption of lipids in the small intestine.

Section 8
The Gallbladder
Thumbnail
The Gallbladder

The gallbladder stores bile produced by the liver.

Thumbnail
Anatomy of the Gallbladder

The gallbladder, a hollow organ that stores bile, is located under the liver.

Section 9
The Pancreas
Thumbnail
Pancreas

The pancreas is a gland organ in the digestive and endocrine systems.

Thumbnail
Anatomy of the Pancreas

The pancreas lies in the epigastrium or upper central region of the abdomen and can vary in shape.

Histology of the Pancreas

The pancreas serves digestive and endocrine functions, and it is composed of two types of tissue: islets of Langerhans and acini.

Thumbnail
Pancreatic Juice

Pancreatic fluid contains digestive enzymes that help to further break down the carbohydrates, proteins, and lipids in the chyme.

Section 10
The Small Intestine
Thumbnail
Anatomy of the Small Intestine

The small intestine is the part of the gastrointestinal tract where much of the digestion and absorption of food takes place.

Thumbnail
Histology of the Small Intestine

The small intestine wall has four layers: the outermost serosa, muscularis, submucosa, and innermost mucosa.

Thumbnail
Digestive Processes of the Small Intestine

The small intestine uses different enzymes and processes to digest proteins, lipids, and carbohydrates.

Section 11
The Large Intestine
Thumbnail
Anatomy of the Large Intestine

The large intestine absorbs water from remaining indigestible food matter and compacts feces prior to defecation.

Thumbnail
Histology of the Large Intestine

The large intestine has taeniae coli, and invaginations (the intestinal glands) as opposed to the small intestines.

Thumbnail
Bacterial Flora

The largest bacteria ecosystem in the human body is in the large intestine, where it plays a variety of important roles.

Thumbnail
Digestive Processes of the Large Intestine

In the large intestine, a host of microorganisms known as "gut flora" help digest remaining food matter and create vitamins.

Thumbnail
Absorption and Feces Formation in the Large Intestine

The large intestine absorbs water from the chyme and stores feces until they can be defecated.

Thumbnail
Defecation Reflex

Defecation is a combination of voluntary and involuntary processes with enough force to remove waste material from the digestive system.

Section 12
Chemical Digestion
Thumbnail
Mechanisms of Chemical Digestion

Chemical digestion is the process of breakdown of large macronutrients into smaller molecules by enzyme-mediated hydrolysis.

Thumbnail
Chemical Digestion of Carbohydrates, Proteins, Lipids, and Nucleic Acids

Chemical breakdown of macromolecules contained in food is completed by various enzymes produced in the digestive system.

Section 13
Absorption
Thumbnail
Absorption in the Small Intestine

Absorption of nutrients occurs partially by diffusion through the wall of the small intestine.

Thumbnail
Absorption of Monosaccharides, Amino Acids, Dipeptides, Tripeptides, Lipids, Electrolytes, Vitamins, and Water

Glucose, amino acids, fats, and vitamins are absorbed in the small intestine via the action of hormones and electrolytes.

Section 14
Phases of Digestion
Cephalic Phase

The cephalic phase of gastric secretion occurs even before food enters the stomach via neurological signals.

Thumbnail
Gastric Phase

The gastric phase is a period in which swallowed food activates gastric activity in the stomach.

Thumbnail
Intestinal Phase

The intestinal phase occurs in the duodenum, responds to arriving chyme, and moderates gastric activity via hormones and nervous reflexes.

Thumbnail
Hormones of the Digestive System

There are five main hormones that aid and regulate the digestive system in mammals.

You are in this book
Boundless Anatomy and Physiology by Boundless
Previous Chapter
Chapter 21
Respiratory System
  • Overview of the Respiratory System
  • Conducting Zone
  • Respiratory Zone
  • The Lungs and Pleurae
  • Mechanics of Breathing
and 6 more sections...
Current Chapter
Chapter 22
Digestive System
  • Overview of the Digestive System
  • Nervous System of the Digestive System
  • The Peritoneum
  • The Alimentary Canal
  • Layers of the Alimentary Canal
and 9 more sections...
Next Chapter
Chapter 23
Nutrition and Metabolism
  • Nutrition
  • Carbohydrates
  • Lipids
  • Proteins
  • Metabolic Reactions
and 5 more sections...
Subjects
  • Accounting
  • Algebra
  • Art History
  • Biology
  • Business
  • Calculus
  • Chemistry
  • Communications
  • Economics
  • Finance
  • Management
  • Marketing
  • Microbiology
  • Physics
  • Physiology
  • Political Science
  • Psychology
  • Sociology
  • Statistics
  • U.S. History
  • World History
  • Writing

Except where noted, content and user contributions on this site are licensed under CC BY-SA 4.0 with attribution required.