Physiology
Textbooks
Boundless Anatomy and Physiology
Digestive System
The Liver
Physiology Textbooks Boundless Anatomy and Physiology Digestive System The Liver
Physiology Textbooks Boundless Anatomy and Physiology Digestive System
Physiology Textbooks Boundless Anatomy and Physiology
Physiology Textbooks
Physiology
Concept Version 9
Created by Boundless

Bile

Bile is a fluid produced by the liver that aids the process of digestion and absorption of lipids in the small intestine.

Learning Objective

  • Summarize the composition and function of bile


Key Points

    • Bile is a composition of the following materials: water (85%), bile salts (10%), mucus and pigments (3%), fats (1%), inorganic salts (0.7%), and cholesterol (0.3%).
    • Bile can either drain directly into the duodenum or be temporarily stored in the gallbladder.
    • Bile, which is alkaline, also has the function of neutralizing any excess stomach acid in the small intestine.

Term

  • bile

    A bitter brownish-yellow or greenish-yellow secretion produced by the liver, stored in the gall bladder, and discharged into the duodenum, where it aids the process of digestion.


Full Text

Bile, or gall, is a bitter-tasting, dark-green to yellowish-brown fluid produced by the liver that aids the process of digestion of lipids in the small intestine. Bile is stored in the gallbladder, and upon eating is discharged into the duodenum through the bile duct. Bile is a composition of the following materials: water (85%), bile salts (10%), mucus and pigments (3%), fats (1%), inorganic salts (0.7%), and cholesterol (0.3%).

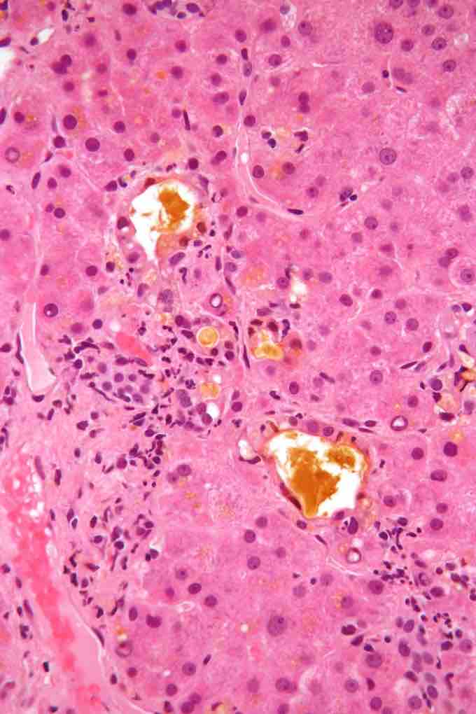
Bile

Micrograph of bile (yellow material) in a liver biopsy.

Bile acts as a surfactant, helping to emulsify the fats in the food, in the same way in which soap emulsifies fat. The bile salts are ionically charged, with a hydrophobic end and a hydrophillic end. When exposed to water mixed with fat, like in the small intestine, the bile salts congregate around a fat droplet, with their hydrophobic side pointing towards the fat and their hydrophillic side pointing towards the water . This increases the surface area of the fat, allowing greater access by the pancreatic enzymes that break down fats. Since bile increases the absorption of fats, it is an important part of the absorption of the fat-soluble vitamins, such as the vitamins D, E, K, and A.

Bile Salt Action on Lipids

Bile salts congregate around fat, separating them into small droplets called micelles.

Besides its digestive function, bile serves also as the route of excretion for bilirubin, a waste byproduct of red blood cells recycled by the liver. The alkaline bile also has the function of neutralizing any excess stomach acid before it enters the ileum, the final section of the small intestine. Bile salts also act as bactericides, destroying many of the microbes that may be present in the food.

[ edit ]
Edit this content
Prev Concept
Liver Function
The Gallbladder
Next Concept
Subjects
  • Accounting
  • Algebra
  • Art History
  • Biology
  • Business
  • Calculus
  • Chemistry
  • Communications
  • Economics
  • Finance
  • Management
  • Marketing
  • Microbiology
  • Physics
  • Physiology
  • Political Science
  • Psychology
  • Sociology
  • Statistics
  • U.S. History
  • World History
  • Writing

Except where noted, content and user contributions on this site are licensed under CC BY-SA 4.0 with attribution required.