We need you! Join our contributor community and become a WikEM editor through our open and transparent promotion process.
Visual diagnosis (main)
From WikEM
Contents
Generalized Rashes
Rash visual diagnosis
Poison ivy/Oak/Sumac
Poison ivy/Oak/Sumac
Psoriasis before and after treatment.
Vesiculobullous rashes visual diagnosis
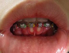
Mouth
Mouth images
Measles (Koplik's spots)
Eye
Acute angle closure glaucoma (right)
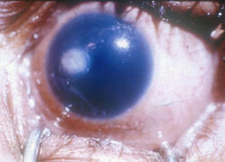
Anterior uveitis with hypopyon
Airbag corneal abrasion
External stye
Internal stye
Retina
Images
Open-angle glaucoma (cupping)
Roth spots due to retinal vein occlusion (retinal hemorrhage)
Ear
Mastoiditis with subperiostal abscess
Mild otitis externa
Severe otitis externa
Hand and Finger
Foot diagnoses
Genital
Male
Primary Syphilis
Female













































































