We need you! Join our contributor community and become a WikEM editor through our open and transparent promotion process.
Ultrasound: Pelvic
From WikEM
OB
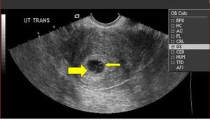
Definite IUP = gestational sac containing yolk sac
- Occurs ~5.5th week
- MUST contain yolk sac to be confirmed IUP. Pseudogestational sac possible in ectopic pregnancy
- B-HCG below Discriminatory Zone = <1,500-3,000 mIU/ml
- Consider Transabdominal US for IUP: >6000 mIU/ml
Endometrial mantle
- normal size > 8 mm
Estimated gestational age
- can be measured by crown rump length, femur length, biparietal diameter, etc.
- depends on gestational age and quality/type of image acquired
Fetal Heart Rate
- normal 120-160
- Use M-mode to calculate
- First visible on US ~6 wks at 100-120 bmp[1]
Nonpregnant
- Ovarian Torsion
- increased risk with cyst(s) > 5mm
- Want to visualize arterial and venous flow
Diagnostic Algorithm
Video
See Also
References
- ↑ Shetty A, Weerakkody Y. Fetal Heart Rate. http://radiopaedia.org/articles/fetal-heart-rate


