Toxic megacolon

From WikEM
Jump to: navigation, search

Background

  • Colonic Dilation ≥6cm
  • Therapy: Fluids, Electrolyte Repletion, Steroids, Antibiotics, Surgical Consultation
  • AVOID anticholingerics, anti-motility agents, opioids

Causes

Clinical Features

Differential Diagnosis

Evaluation

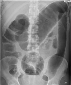
Toxic megacolon on KUB
  • Abdominal Ultrasound:
    • Thin colonic walls with loss of haustra coli
    • Diameter ≥6cm with gaseous content
  • Labs:
    • Leukocytosis
    • Electrolyte disturbances: Hypokalemia, Hypomagnesemia
    • Elevated ESR/CRP
    • Anemia
    • Hypoalbuminemia

Management

  • Fluid Resuscitation
  • IV corticosteroids
    • Hydrocortisone IV 100mg q6h
  • Triple Antibiotic Therapy
  • Electrolyte Repletion
    • Aggressively treat hypokalemia and hypomagnesemia because these can exacerbate dilation
  • Emergent Surgical Consultation
  • Obtain blood cultures, stool cultures, C. Diff Toxin
  • If known cause is C. Diff treat with Vancomycin or Metronidazole
  • If known cause is CMV can add Ganciclovir
  • Avoid
    • Anticholinergics, anti-motility agents, opioids which can worsen dilation
    • Sulfasalazine or 5-aminosalicylate (5-ASA) unhelpful
    • Nasogastric (NG) Tube NOT effective in reducing colonic distention

Disposition

  • Admit

See Also

References

  • Autenrieth, Daniel M., and Daniel C. Baumgart. "Toxic Megacolon." Inflammatory Bowel Diseases 18.3 (2012): 584-91.
  • Rosen, Peter, and John A. Marx. Rosen's Emergency Medicine: Concepts and Clinical Practice. 8th ed. Philadelphia: Elsevier Saunders, 2014.