We need you! Join our contributor community and become a WikEM editor through our open and transparent promotion process.
Takayasu arteritis
From WikEM
Contents
Background
- Large-vessel vasculitis, leads to fibrosis and narrowing of the vessels [1]
- Most often affects women of Asian descent during reproductive age
- Diagnosis is often delayed due to the rarity of the disease and varied symptoms
- The disease process chronically improves and relapses[2]
Clinical Features
- Hypertension
- Congestive Heart Failure
- CVA
- Dizziness
- Pulselessness
- Claudication
- Bruits
- Visual disturbance
- Arthralgias/Myalgias
- Aortic Regurgitation
- Weight Loss
- Arterial Aneurysm
Differential Diagnosis
- Giant cell arteritis
- Thromboangiitis obliterans (Buerger's Disease)
- Systemic lupus erythematosus
- Syphilis
- Rheumatoid Arthritis
- Behcet's Disease
- Sarcoidosis
Evaluation
- Work up should be tailored to the patient's symptoms as this disease process affects multiple organ systems due to vascular damage
Laboratory
- ESR, CRP, WBC may or may not be elevated
- Anemia may be present
Imaging
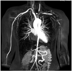
- Angiography revealing narrowing/occlusion of large vessels (e.g. Aorta) is the gold standard [3]
- MRA or CTA can be used as well to appreciate vascular stenoses
Management
- Oral Prednisone 1 mg/kg for the first month followed by a taper
- Taper to approximately 10 mg/day
- The addition of Methotrexate or Mycophenolate mofetil to Prednisone therapy may be more effective than monotherapy
- Additional processes (e.g. Hypertension or Congestive Heart Failure) will require disease specific treatments
- In advanced disease processes, Cardiac or Vascular Surgery or Interventional Radiology may be required for angioplasty, stenting, or valvular repair
Disposition
- Disposition dependent on presentation and disease severity
- Admit patients with severe aortic regurgitation, large aortic aneurysm, or other concerning features
References
- ↑ Hellmann, DB et al. Chapter 31. Takayasu Arteritis. In: Imboden JB, Hellmann DB, Stone JH. eds. CURRENT Diagnosis & Treatment: Rheumatology, 3e New York, NY: McGraw-Hill; 2013.
- ↑ Hellmann, DB et al. Rheumatologic, Immunologic, & Allergic Disorders. In: Papadakis MA, McPhee SJ, Rabow MW. eds. Current Medical Diagnosis & Treatment 2017 New York, NY: McGraw-Hill
- ↑ Lin, PH et al. Arterial Disease. In: Brunicardi F, Andersen DK, Billiar TR, Dunn DL, Hunter JG, Matthews JB, Pollock RE. eds. Schwartz's Principles of Surgery, 10e New York, NY: McGraw-Hill; 2015.

