We need you! Join our contributor community and become a WikEM editor through our open and transparent promotion process.
Symptomatic cholelithiasis
From WikEM
Contents
Background
Clinical Features
History
- RUQ pain that is constant, lasts 1-5hr, and then remits
- Pain >5hr suggests cholecystitis, cholangitis, or pancreatitis
- Usually does not occur during fasting
Physical Exam
- Often benign; as compared to cholecystitis, usually negative Murphy's Sign
Differential Diagnosis
RUQ Pain
- Gallbladder disease
- Acute cholecystitis
- Cholangitis
- Symptomatic cholelithiasis
- Choledocholithiasis
- Acalculous cholecystitis
- Peptic ulcer disease with or without perforation
- Pancreatitis
- Acute hepatitis
- Pyelonephritis
- Pneumonia
- Kidney stone
- Pancreatitis
- GERD
- Appendicitis (retrocecal)
- Pyogenic liver abscess
- Fitz-Hugh-Curtis Syndrome
- Hepatomegaly due to CHF
- Herpes zoster
- Myocardial ischemia
- Bowel obstruction
- Pulmonary embolism
- Abdominal aortic aneurysm
Evaluation
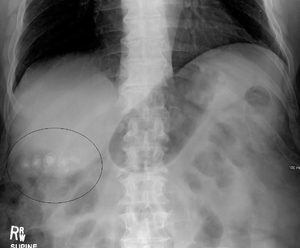
Gallstones found incidentally on KUB (xrays are not sensitive).
- Labs
- LFT, CBC normal
- RUQ Ultrasound
- Sensitivity 84%, Specificity 99%
Management
Disposition
- Outpatient management
