We need you! Join our contributor community and become a WikEM editor through our open and transparent promotion process.
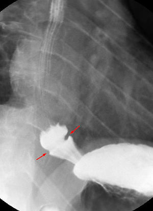
Schatzki ring
From WikEM
Contents
Background
- Impacted food bolus common ED complaint
- 4 areas of narrowing in the esophagus
- Upper esophageal sphincter (cricopharyngeus muscle)
- Aortic arch
- L mainstem bronchus
- Lower esophageal sphincter
- Schatzki Ring: mucosal or muscular tissue ring
Clinical Features
- Dysphagia with solid foods
- Food sticking sensation with swallowing
- Crushing chest pain with complete bolus obstruction
- "Steakhouse syndrome"
Differential Diagnosis
Dysphagia
- Achalasia
- Esophageal foreign body
- Schatzki Ring
- Esophageal web
Evaluation
- EGD
- Esophageal webs do not completely encircle the esophagus
- Barium swallow
Management
- No treatment for asymptomatic
- Food bolus removed with endoscopy
- Balloon dilation of symptomatic rings


