We need you! Join our contributor community and become a WikEM editor through our open and transparent promotion process.
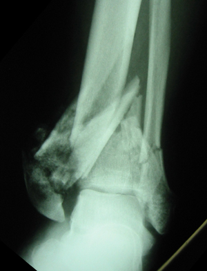
Pilon fracture
From WikEM
Contents
Background
- Axial loading injury that drives tibial plafond (French for ceiling) into talar dome
- "Pilon" is another word for pestle, a tool used to grind substance in a mortar
- Also known as a tibial plafond fracture
Clinical Features
Differential Diagnosis
Distal Leg Fractures
- Tibial plateau fracture
- Tibial shaft fracture
- Pilon fracture
- Maisonneuve fracture
- Tibia fracture (peds)
- Ankle fracture
- Foot and toe fractures
Evaluation
- Suspect other fractures as well:
- Lumbar spine (esp L1), calcaneus, talar dome, tibial plateau, femoral neck, acetabulum,
- Monitor for compartment syndrome
Imaging
- CT necessary to reveal amount of articular surface displacement/develop treatment plan
Management
- Long leg posterior splint
- Consult ortho for surgery

