We need you! Join our contributor community and become a WikEM editor through our open and transparent promotion process.
Mallet finger
From WikEM
Contents
Background
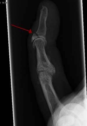
- Rupture of extensor tendon in area of distal phalanx distal to DIP joint
- May be accompanied by avulsion fracture
- Caused by forced flexion of the DIP joint
Clinical Features
- Results in DIP joint flexed 40'
- Untreated leads to swan neck deformity
- Flexed DIP
- Hyperextended PIP
Differential Diagnosis
Hand and finger injuries
- Radiograph positive
- Radiograph negative
- Dupeytren contracture
- Boutonniere deformity
- Hand and finger tendon injuries
- Ganglion cyst
- De Quervain tenosynovitis
- Intersection syndrome
- Drummer's wrist
- Extensor digitorum tenosynovitis
- Vaughn Jackson syndrome
- Snapping Extensor Carpi Ulnaris
- Compressive neuropathy, "bracelet syndrome"
- Scaphoid fracture
- Osteoarthritis
- Infiltrative tenosynovitis
- Gout
- Rheumatoid arthritis
- Trigger finger
- Mallet finger
- Jersey finger
- Jammed finger
- Subungual hematoma
- Fingertip laceration
- Metacarpophalangeal (MCP) ulnar ligament rupture (Gamekeeper's thumb)
- Nail avulsion
- High-pressure injection injury
Evaluation
Workup
- Finger x-ray (PA and lateral)
Diagnosis
The injured digit will be often held in flexion with an inability to extend. The diagnosis is clinical although an avulsion fracture should also be ruled out.
Management
- Splint DIP joint in continuous slight hyperextension x 6wk
- Splinting of the PIP joint is not necessary[1]
- Give an extra splint
Disposition
- Hand surgery follow-up in 7-10 days
See Also
References
- ↑ Katzman B et al. Immobilization of the mallet finger: effects of the extensor tendon. J Hand Surg Br. 1992; 24(1):80-84
Authors
Ross Donaldson, Daniel Ostermayer, Allen Bookatz, Kevin Lu, Neil Young




