We need you! Join our contributor community and become a WikEM editor through our open and transparent promotion process.
Lens dislocation
From WikEM
Contents
Background
- aka Ectopia Lentis
- Dislocation: anterior or posterior displacement of lens due to complete separation of lens zonule fibers
- Subluxation: incomplete disruption of lens zonule fibers
- Acute angle closure glaucoma: can result when anteriorly displaced lens obstructs aqueous flow
- Lens capsule disruption can cause lens stroma to swell and become cloudy→ acute glaucoma and traumatic cataracts
Causes
- Most commonly due to blunt eye trauma
- Less commonly due to lightening/electrocution
- Can occur after minor or no trauma in patients with:
- Marfans
- Homocystinuria
- Ehler's Danlos
- Tertiary syphillis
- Prior cataract surgeries
Clinical Features
- Red, painful eye
- Diplopia, reduced visual acuity
- Floaters
- +/- iris tremor after rapid eye movement
- Raised intraocular pressure, if aqueous flow blocked
- Slit lamp: edge of subluxated lense can be seen with dilated pupil
Associated with
Differential Diagnosis
Unilateral Red Eye
- Acute angle-closure glaucoma^
- Anterior uveitis
- Caustic keratoconjunctivitis^^
- Conjunctival laceration
- Conjunctivitis
- Corneal abrasion
- Corneal erosion
- Ocular foreign body
- Corneal ulcer^
- Endophthalmitis^
- Episcleritis
- Globe rupture^
- Herpes zoster ophthalmicus
- Intraocular foreign body
- Inflamed pingueculum
- Inflamed Pterygium
- Keratoconjunctivitis
- Keratoconus
- Lens dislocation
- Nontraumatic iritis
- Scleritis^
- Subconjunctival hemorrhage
- Traumatic hyphema
- Traumatic iritis
- Ultraviolet keratitis
^Emergent diagnoses
^^Critical diagnoses
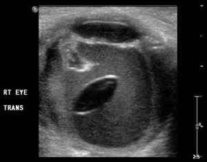
Evaluation
- Evaluate for other injuries
- Slit lamp exam, visual acuity
- Ultrasound
- Lense displaced from usual position
- evidence of other associated traumatic injuries
- Measure intraocular pressure with Tonopen
Management
- Optho consult (emergently if elevated IOP!)
- Optho will either repair surgically or observe, depending on displacement and associated injuries/symptoms
Disposition
See Also
- Blunt orbital trauma
- Vitreous hemorrhage
- Acute angle glaucoma
- Hyphema
- Retinal detachment
- Globe rupture
External Links
- Video of slit lamp exam of dislocated lens: http://www.rootatlas.com/wordpress/video/579/lens-subluxation-with-vitreous-video/


