We need you! Join our contributor community and become a WikEM editor through our open and transparent promotion process.
File:WeberCOBMedp.jpg
From WikEM
WeberCOBMedp.jpg (247 × 530 pixels, file size: 46 KB, MIME type: image/jpeg)
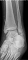
Weber Type C oblique. Courtesy of Dr. Timothy Sanders and Medpix Radiology Teaching Files. CC license.
File history
Click on a date/time to view the file as it appeared at that time.
| Date/Time | Thumbnail | Dimensions | User | Comment | |
|---|---|---|---|---|---|
| current | 22:21, 20 August 2013 | ![]() | 247 × 530 (46 KB) | Mceledon83 (Talk | contribs) | cropped and resized for smartphone viewing |
| 19:51, 20 August 2013 | Error creating thumbnail: convert: no decode delegate for this image format `/tmp/s3thumb-HAcn11' @ error/constitute.c/ReadImage/544. convert: no images defined `/tmp/s3thumb-HAcn11' @ error/convert.c/ConvertImageCommand/3046. Error code: 1 | 633 × 1,065 (56 KB) | Mceledon83 (Talk | contribs) | Weber Type C oblique. Courtesy of Dr. Timothy Sanders and Medpix Radiology Teaching Files. CC license. |
- You cannot overwrite this file.
File usage
The following page links to this file:


