We need you! Join our contributor community and become a WikEM editor through our open and transparent promotion process.
File:MyositisOssificans.png
From WikEM

Size of this preview: 352 × 599 pixels. Other resolutions: 141 × 240 pixels | 514 × 874 pixels.
Original file (514 × 874 pixels, file size: 286 KB, MIME type: image/png)
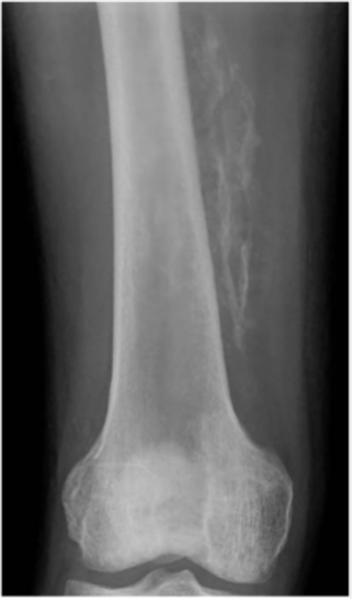
Plain radiograph taken two months after injury demonstrates irregular calcification located along muscle on medial aspect of right thigh. Diagnosis was myositis ossificans. Kim SY, Park JS, Ryu KN, Jin W, Park SY. Various tumor-mimicking lesions in the musculoskeletal system: causes and diagnostic approach. Korean J Radiol (2011)
File history
Click on a date/time to view the file as it appeared at that time.
| Date/Time | Thumbnail | Dimensions | User | Comment | |
|---|---|---|---|---|---|
| current | 01:11, 30 August 2016 | ![]() | 514 × 874 (286 KB) | Jstevenson (Talk | contribs) | Plain radiograph taken two months after injury demonstrates irregular calcification located along muscle on medial aspect of right thigh. Diagnosis was myositis ossificans. |
- You cannot overwrite this file.
File usage
The following page links to this file:

