We need you! Join our contributor community and become a WikEM editor through our open and transparent promotion process.
File:Intussusception 2.png
From WikEM

Size of this preview: 489 × 600 pixels. Other resolutions: 196 × 240 pixels | 512 × 628 pixels.
Original file (512 × 628 pixels, file size: 216 KB, MIME type: image/png)
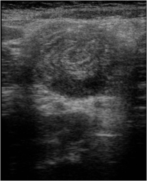
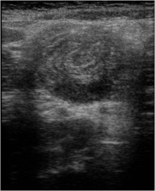
Intussusception in a pediatric patient.
(Acquired from: OPENi - An Open Access Biomedical Search EngineAn Open Access Biomedical Image Search Engine)
File history
Click on a date/time to view the file as it appeared at that time.
| Date/Time | Thumbnail | Dimensions | User | Comment | |
|---|---|---|---|---|---|
| current | 20:01, 6 April 2015 | ![]() | 512 × 628 (216 KB) | Neil.m.young (Talk | contribs) | Intussusception in a pediatric patient. (Acquired from: OPENi - An Open Access Biomedical Search EngineAn Open Access Biomedical Image Search Engine) |
- You cannot overwrite this file.
File usage
The following page links to this file:

