We need you! Join our contributor community and become a WikEM editor through our open and transparent promotion process.
File:Dissection CXR.jpg
From WikEM

Size of this preview: 781 × 599 pixels. Other resolutions: 313 × 240 pixels | 2,052 × 1,575 pixels.
Original file (2,052 × 1,575 pixels, file size: 291 KB, MIME type: image/jpeg)
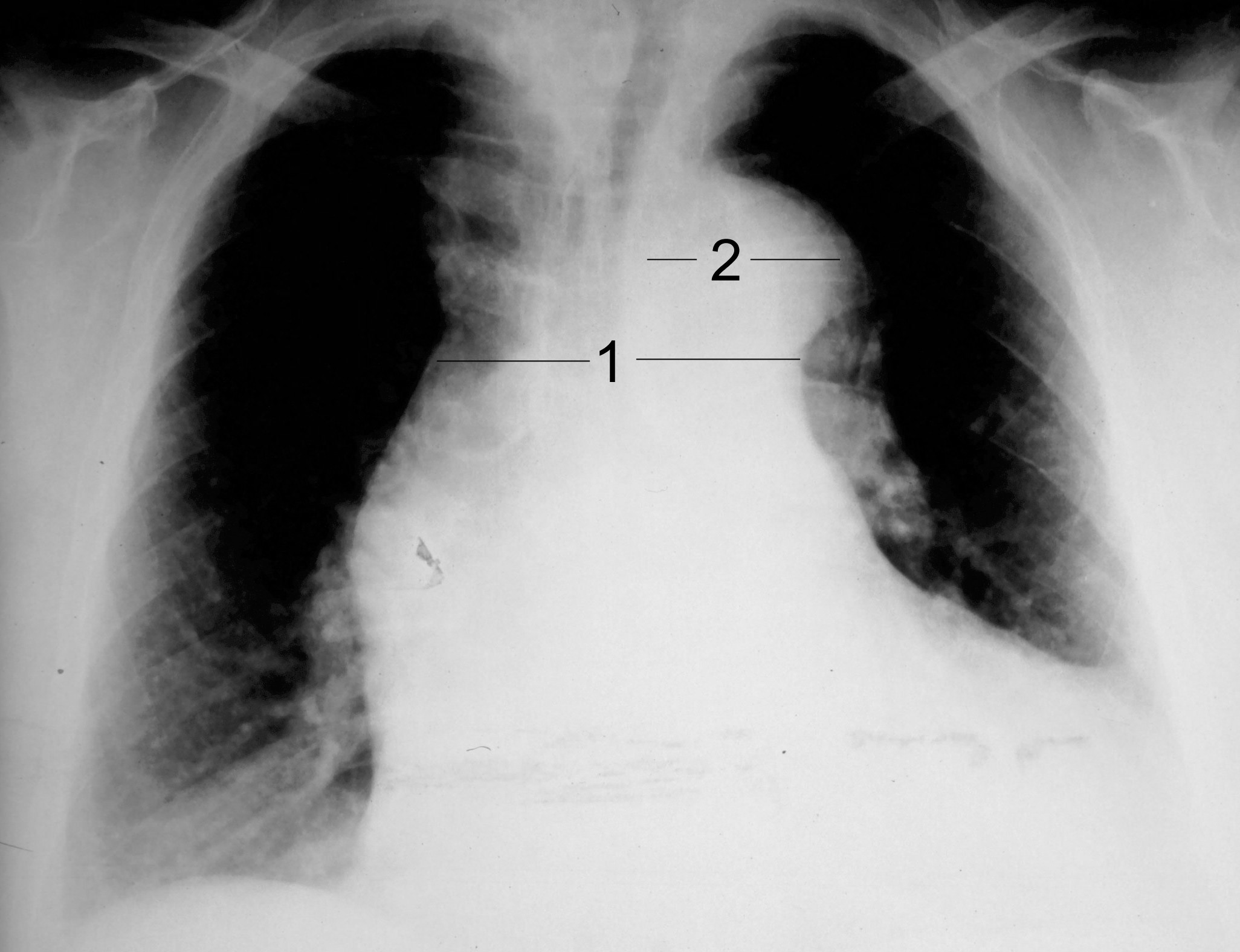
CXR showing widened mediastinum and porminent aortic knob
File history
Click on a date/time to view the file as it appeared at that time.
| Date/Time | Thumbnail | Dimensions | User | Comment | |
|---|---|---|---|---|---|
| current | 17:43, 19 May 2016 | ![]() | 2,052 × 1,575 (291 KB) | Alvarez13 (Talk | contribs) | CXR showing widened mediastinum and porminent aortic knob |
- You cannot overwrite this file.
File usage
The following page links to this file:

