We need you! Join our contributor community and become a WikEM editor through our open and transparent promotion process.
File:DWI Brain.png
From WikEM
DWI_Brain.png (172 × 206 pixels, file size: 30 KB, MIME type: image/png)
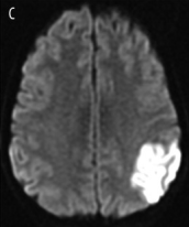
Diffusion Weighted Imaging of the Brain
File history
Click on a date/time to view the file as it appeared at that time.
| Date/Time | Thumbnail | Dimensions | User | Comment | |
|---|---|---|---|---|---|
| current | 15:32, 16 May 2016 | ![]() | 172 × 206 (30 KB) | Neil.m.young (Talk | contribs) | Diffusion Weighted Imaging of the Brain |
- You cannot overwrite this file.
File usage
The following page links to this file:


