We need you! Join our contributor community and become a WikEM editor through our open and transparent promotion process.
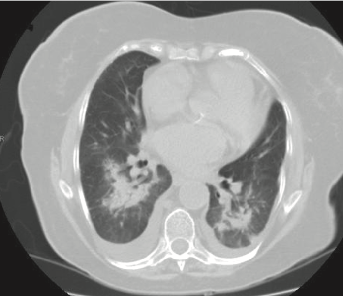
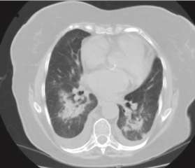
File:CT Amiodarone Lung Toxicity.png
From WikEM

Size of this preview: 697 × 600 pixels. Other resolutions: 279 × 240 pixels | 1,362 × 1,172 pixels.
Original file (1,362 × 1,172 pixels, file size: 1.42 MB, MIME type: image/png)
MsUpload
File history
Click on a date/time to view the file as it appeared at that time.
| Date/Time | Thumbnail | Dimensions | User | Comment | |
|---|---|---|---|---|---|
| current | 13:16, 5 January 2016 | ![]() | 1,362 × 1,172 (1.42 MB) | GregArmani (Talk | contribs) | MsUpload |
- You cannot overwrite this file.
File usage
The following page links to this file:

