We need you! Join our contributor community and become a WikEM editor through our open and transparent promotion process.
File:Asplenia.jpg
From WikEM
Asplenia.jpg (442 × 442 pixels, file size: 30 KB, MIME type: image/jpeg)
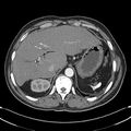
CT scan of an asplenic patient.
Case courtesy of Dr Gagandeep Singh, <a href="http://radiopaedia.org/">Radiopaedia.org</a>. From the case <a href="http://radiopaedia.org/cases/7731">rID: 7731</a>
File history
Click on a date/time to view the file as it appeared at that time.
| Date/Time | Thumbnail | Dimensions | User | Comment | |
|---|---|---|---|---|---|
| current | 02:21, 3 September 2016 | ![]() | 442 × 442 (30 KB) | Jwcombs (Talk | contribs) | CT scan of an asplenic patient. |
- You cannot overwrite this file.
File usage
The following page links to this file:


