We need you! Join our contributor community and become a WikEM editor through our open and transparent promotion process.
File:Ant and post fat pad.png
From WikEM

Size of this preview: 585 × 600 pixels. Other resolutions: 234 × 240 pixels | 1,024 × 1,050 pixels.
Original file (1,024 × 1,050 pixels, file size: 683 KB, MIME type: image/png)
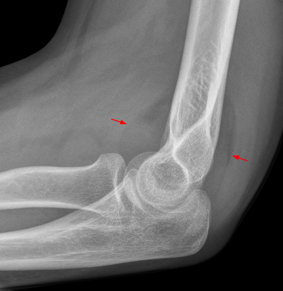
DescriptionFettpolsterzeichen pathologisch Ellenbogen.png English: Fat pad sign: Ventral fat pad bowed and dorsal fat pat visible. The fracture of radius head is not visible directly. Deutsch: Pathologisches Fettpolsterzeichen bei einer okkulten Radiusköpfchenfraktur. Das ventrale Fettpolster ist bogig nach vorne verlagert, das dorsale Fettpolster ist sichtbar. Date Source: Hellerhoff This file is licensed under the Creative Commons Attribution-Share Alike 3.0 Unported license.
File history
Click on a date/time to view the file as it appeared at that time.
| Date/Time | Thumbnail | Dimensions | User | Comment | |
|---|---|---|---|---|---|
| current | 18:29, 15 January 2015 | ![]() | 1,024 × 1,050 (683 KB) | Rossdonaldson1 (Talk | contribs) | DescriptionFettpolsterzeichen pathologisch Ellenbogen.png English: Fat pad sign: Ventral fat pad bowed and dorsal fat pat visible. The fracture of radius head is not visible directly. Deutsch: Pathologisches Fettpolsterzeichen bei einer okkulten Radiuskö |
- You cannot overwrite this file.
File usage
The following page links to this file:

