We need you! Join our contributor community and become a WikEM editor through our open and transparent promotion process.
Esophageal candidiasis
From WikEM
Contents
Background
- Most commonly seen in HIV patients with CD4 count < 100 (AIDS-defining illness) or chronic inhaled glucocorticoid use
Clinical Features[1]
- odynophagia
- dysphagia
- retrosternal pain
- nausea/vomiting
Differential Diagnosis
Esophagitis
- Esophageal candidiasis
- Cytomegalovirus esophagitis
- Herpes Simplex esophagitis
- Eosinophilic esophagitis
- Medication-induced esophagitis
Evaluation
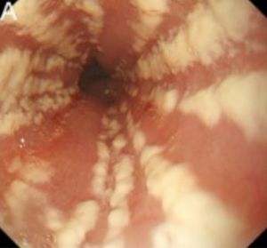
- Thick, white, linear esophageal plaques on endoscopy
Management
- Fluconazole 400mg PO loading dose, followed by 200mg PO Qdaily x 2 weeks
- Itraconazole 200mg PO Qdaily for 2 weeks
- has more nausea side-effects and drug interactions compared to fluconazole
Disposition
See Also
External Links
References
- ↑ Kauffmann CA. Overview of Candida Infections. UptoDate. 2016.

