We need you! Join our contributor community and become a WikEM editor through our open and transparent promotion process.
Elbow X-ray (peds)
From WikEM
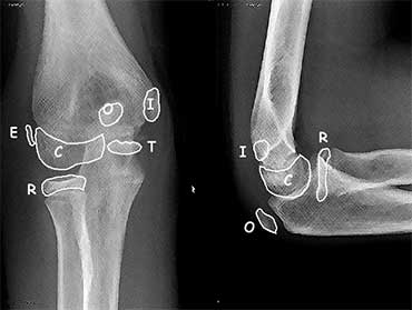
Elbow Ossification by Age (CRITOE)
| Ossification Center | Age of Appearance (add 1yr for boys) |
| Capitellum | 1yr |
| Radial head | 3yr |
| Internal epicondyle | 5yr |
| Trochlea | 7yr |
| Olecranon | 9yr |
| External epicondyle | 11yr |
Reading Film
- Anterior humeral line should intersect with middle third of capitellum
- If not, consider supracondylar fracture or lateral condyle fracture
- Line drawn along axis of radial head and neck should pass through middle of capitellum
- If not, consider fracture of lateral condyle, radial neck, Monteggia, or elbow dislocation
- Fat pads
- Anterior may be normal or if large may be abnormal ("sail sign")
- Posterior is always abnormal



