We need you! Join our contributor community and become a WikEM editor through our open and transparent promotion process.
Calcific tendinitis
From WikEM
Contents
Background
- Self-limiting disorder of calcium deposition within one or more tendons of the rotator cuff
- With time, the calcium undergoes painful resorption with subsequent tendon healing
- Middle-aged patients are most commonly affected (rarely seen in patients >70yrs)
- Adhesive capsulitis is most common complication
Clinical Features
- "Calcification" phase
- Patient may be asymptomatic or have mild pain at rest or at night
- "Resorptive" phase (1-2wks)
- Sudden onset of severe pain, usually at rest, worse at night
- Any shoulder motion reproduces significant pain
- TTP over proximal humerus near tendinous insertion of rotator cuff
- "Postcalcific phase: variable levels of pain and shoulder dysfunction
Evaluation
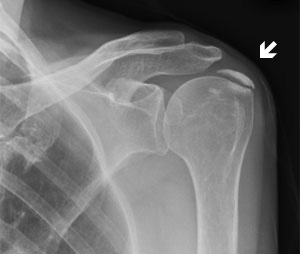
- Imaging
- Plain films will show calcification in the tendon(s) of the rotator cuff
- Note: calcification is not specific for calcific tendinitis (may occur in asymptomatic patients)
Differential Diagnosis
Shoulder and Upper Arm Diagnoses
Traumatic/Acute:
- Shoulder Dislocation
- Clavicle fracture
- Humerus fracture
- Scapula fracture
- Acromioclavicular injury
- Glenohumeral instability
- Rotator cuff tear
- Biceps tendon rupture
- Triceps tendon rupture
- Septic joint
Nontraumatic/Chronic:
- Rotator cuff tear
- Impingement syndrome
- Calcific tendinitis
- Adhesive capsulitis
- Biceps tendinitis
- Subacromial bursitis
Refered pain & non-orthopedic causes:
- Referred pain from
- Neck
- Diaphragm (e.g. gallbladder disease)
- Brachial plexus injury
- Axillary artery thrombosis
- Thoracic outlet syndrome
- Subclavian steal syndrome
- Pancoast tumor
- Myocardial infarction
- Pneumonia
- Pulmonary embolism
Management
- Nonoperative management is successful in 90% of cases
- Analgesia
- NSAIDs, opioids
- Avoid immobilization
- Rest shoulder in abduction on back of a chair as soon as tolerable
- Sleep with pillow beneath axilla
Disposition
- Primary care referral within 1wk

