We need you! Join our contributor community and become a WikEM editor through our open and transparent promotion process.
Ankylosing spondylitis
From WikEM
Contents
Background
- Ankylosing spondylitis (AS) is a chronic inflammatory disease of the axial skeleton with variable involvement of other joints or even nonarticular structures
- 3x more common in males than females
- Typically diagnosed in young adults between the ages of 20 and 30 yrs
- Often associated with other autoimmune disorders
- 90% of people with AS express the HLA-B27 genotype
Clinical Features
- Spinal pain, particularly in the lower back, is usually the first and most common symptom of AS
- Begins in early adulthood (before 45 yrs)
- Has a gradual onset
- Lasts longer than three months
- Is worse after rest (for example, in the morning) but improves with activity
- Can cause morning stiffness lasting more than 30 minutes
- Fatigue
- Can also be associated with anterior uvetitis, bowel ulcers and spinal fractures are 4 times more common in patients with AS [1]
Differential Diagnosis
Lower Back Pain
- Spine related
- Acute ligamentous injury
- Acute muscle strain
- Disk herniation (Sciatica)
- Degenerative joint disease
- Spondylolithesis
- Epidural compression syndromes
- Spinal fracture
- Cancer metastasis
- Spinal stenosis
- Transverse myelitis
- Vertebral osteomyelitis
- Ankylosing spondylitis
- Spondylolithesis
- Discitis
- Renal disease
- Intra-abdominal
- Abdominal aortic aneurysm
- Ulcer perforation
- Retrocecal appendicitis
- Large bowel obstruction
- Pancreatitis
- Pelvic disease
- Other
- Retroperitoneal hemorrhage/mass
- Meningitis
Evaluation
- There is no direct test for AS
- ESR, CRP can be elevated but not sensitive or specific
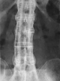
- Xray lumbar/sacroiliac: The earliest changes in the sacroiliac joints shows erosions and sclerosis
- Progression of erosions leads to pseudo widening of the joint space and bony ankylosis AKA "Bamboo Spine"
- CBC
- Chem 10
- Urinalysis
- Genetic testing for HLA B27 ( > 90% of people with AS have this gene, though by it's self is not specific)
Management
- There is no cure for AS, although treatments and medications can reduce symptoms and pain
- Exercise and posture training should be part of the treatment program for everyone with AS
- NSAIDS
- Sulfasalazine can be used in people with peripheral arthritis, but for axial involvement, evidence does not support it [2].
- Lack of evidence for methotrexate [3] or steroids.
- Tumor necrosis factor-alpha blockers, such as the biologics etanercept, infliximab, golimumab and adalimumab, provide good short-term effectiveness though long term management is currently being studied
Disposition
- Often diagnosis will not be made in ED but if made in ED often can be discharged home with primary care follow up or rheumatology follow up
See Also
External Links
References
- ↑ Westerveld LA, Verlaan JJ, Oner FC. Spinal fractures in patients with ankylosing spinal disorders: a systematic review of the literature on treatment, neurological status and complications. European Spine Journal. 2009;18(2):145–156
- ↑ Chen J, Lin S, Liu C. Sulfasalazine for ankylosing spondylitis. Cochrane Database of Systematic Reviews 2014, Issue 11. Art. No.: CD004800. DOI: 10.1002/14651858.CD004800.pub3.
- ↑ Chen J, Veras MMS, Liu C, Lin J. Methotrexate for ankylosing spondylitis. Cochrane Database of Systematic Reviews 2013, Issue 2. Art. No.: CD004524. DOI: 10.1002/14651858.CD004524.pub4.

