We need you! Join our contributor community and become a WikEM editor through our open and transparent promotion process.
Achilles tendon rupture
From WikEM
Contents
Background
- Most frequently ruptures 2-6cm above calcaneus (where blood supply is weakest)
- Typical patient is 30-50yr old man who participates in strenuous activities on occasional basis
- Quinolone-associated rupture occurs in only 12 per 100,000 treatment episodes, and risk may be equivalent to oral steroids or non-quinolone antibiotics [1]
Clinical Features
- Sudden, severe pain typically with rapid acceleration or pivoting
- May hear a "pop"
- Inability to run, stand on toes, or climb stairs
- Palpable defect in Achilles tendon 2-6cm proximal to calcaneus (SN 73% and SP 89% for partial tear)
- 20-30% of ruptures will have some amount of active plantar flexion or be able to walk
Differential Diagnosis
Calf pain
- DVT
- Compartment syndrome
- Gastrocnemius strain
- Calcaneal bursitis
- Achilles tendon rupture
- Cellulitis
- Superficial thrombophlebitis
- Ruptured Popliteal cyst (Baker's)
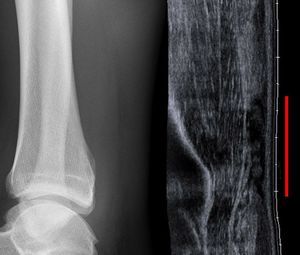
Evaluation
- Clinical diagnosis
- Ultrasound can be used in equivocal cases
- Comparing to normal ankle can reveal smaller defects or tears
Thompson test
(SN 96% and SP 93%)
- Lay patient prone with knee bent at 90°
- In normal patient, squeezing calf results in plantar-flexion
Management
- Rest, ice, elevation
- Non-weightbearing
- Short leg posterior splint with ankle slightly plantarflexed
Disposition
- Outpatient with ortho referral
References
- ↑ Seeger, et al, "Achilles tendon rupture and its association with fluoroquinolone antibiotics and other potential risk factors in a managed care population." PMID: 16456878

