We need you! Join our contributor community and become a WikEM editor through our open and transparent promotion process.
Acute abdominal series
From WikEM
(Redirected from Abdominal xray)
Contents
Technique
3 Films:
- Upright chest film
- Rule-out free air
- Upright abdominal film
- Look for air-fluid levels
- Supine abdominal film (KUB = just supine film)
- Width of bowel loops most visible (estimate of amount of distention)
If patient does not tolerate upright position, left lateral decubitus abdominal film can substitute
Interpretation
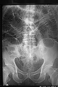
Large bowel obstruction (Cecal volvulus; black arrows).
Gallstones (not sensitive)
Differentiating large and small bowel
| Location | Size | Lines |
| Small bowel | 3 cm | All the way through the bowel (plica circulares) |
| Colon | 6 cm | Only halfway through the bowel (haustra) |
| Cecum | 9 cm |
Small bowel obstruction
- Air in colon or rectum makes complete obstruction less likely (esp if symptoms >24hr)
- Abdominal x-ray has poor Sn and Sp for SBO
- If concerned need CT
Indications
- Ruling out free air under the diaphragm (e.g. perforated ulcer)
- Ruling out radio-opaque abdominal foreign body (e.g. swallowed battery)
- Ruling in bowel obstruction (i.e. to avoid need for subsequent CT scan)
- Do NOT use as the sole study to rule out bowel obstruction (poor sensitivity)
- Do NOT use to rule out generalized peritonitis (almost no sensitivity for diagnoses such as appendicitis)
- Do NOT use to diagnose constipation (many patient with acute abdomen will have "copious stool")








