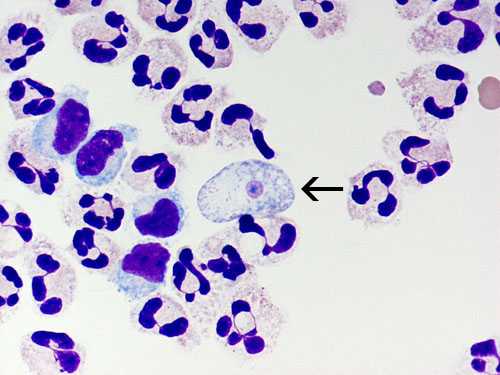
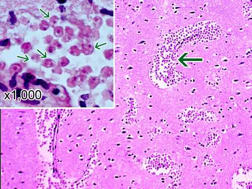
Photos of Naegleria fowleri
Clinicians: For 24/7 diagnostic assistance, specimen collection guidance, shipping instructions, and treatment recommendations, please contact the CDC Emergency Operations Center at 770-488-7100. More detailed guidance is under Information for Public Health & Medical Professionals.
These photos of Naegleria fowleri in a variety of forms are presented to aid in laboratory diagnosis. Please be aware that these photographs are intended to aid in laboratory diagnosis and may be disturbing to some viewers.
- Page last reviewed: February 28, 2017
- Page last updated: February 28, 2017
- Content source:
ShareCompartir








