Skip directly to search Skip directly to A to Z list Skip directly to navigation Skip directly to page options Skip directly to site content

Diagnosis

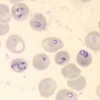
Babesia parasites in red blood cells on a stained blood smear. (CDC Photo: DPDx)

In symptomatic people, babesiosis usually is diagnosed by examining blood specimens under a microscope and seeing Babesia parasites inside red blood cells.

To be sure the diagnosis is correct, your health care provider might have specimens of your blood tested by a specialized reference laboratory (such as at CDC or a health department).

More on: Resources for Health Professionals: Diagnosis

Top