CHEST RADIOGRAPHY
ILO Classification
History
The International Labour Organization (ILO) is a specialized agency of the United Nations that seeks to promote social justice and internationally recognized human and labor rights http://www.ilo.org/public/english/about/index.htm . The ILO is the Organization’s research body and publishing house. Since 1950, the ILO has periodically published guidelines on how to classify radiographs for pneumoconioses . The purpose is to describe and codify radiographic abnormalities of pneumoconioses in a simple, systematic, and reproducible manner. Final revisions to the latest edition were completed in 2011 (ILO 2011).
Classification Scheme
The Classification System includes the Guidelines and two sets of standard films. The standard films represent different types and severity of abnormalities and are used for comparison to subject films during the classification process. The system is oriented towards describing the nature and extent of features associated with the different pneumoconioses, including coal workers’ pneumoconiosis, silicosis, and asbestosis. It deals with parenchymal abnormalities (small and large opacities), pleural changes, and other features associated, or sometimes confused, with occupational lung disease.
In the present manifestation of the ILO system, the reader is first asked to grade film quality. They are then asked to categorize small opacities according to shape and size. The size of small round opacities is characterized as p (up to 1.5 mm), q (1.5-3 mm), or r (3-10 mm). Irregular small opacities are classified by width as s, t, or u (same sizes as for small rounded opacities). Profusion (frequency) of small opacities is classified on a 4-point major category scale (0 – 3), with each major category divided into three, giving a 12-point scale between 0/- and 3/+. Large opacities are defined as any opacity greater than 1 cm that is present in a film. These are classified as category A (for one or more large opacities whose combined dimension does not exceed 5 cm), category B (for one or more large opacities whose combined dimension exceeds 5 cm but does not exceed the equivalent area of the right upper lung zone), or category C (size is greater than category B). Pleural abnormalities are also assessed with respect to location, width, extent, and degree of calcification. Finally, other abnormal features of the chest radiograph can be commented upon (ILO 2002). See the Guidelines for the Use of the ILO International Classification of Radiographs of Pneumoconioses for a full description and exact definition of terms and entities. To see how a classification is recorded, follow this link to the Chest Radiograph Classification Form used by the NIOSH Coal Workers’ X-Ray Surveillance Program.
Examples of Normal and Abnormal Radiographs

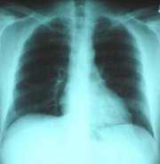
Normal Radiograph

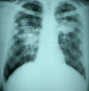
Small Parenchymal Opacities in Coal Workers' Pneumoconiosis

Large Parenchymal Opacities (Progressive Massive Fibrosis) in Coal Workers’ Pneumoconiosis
References
- Page last reviewed: May 24, 2011
- Page last updated: February 24, 2017
- Content source:
- National Institute for Occupational Safety and Health Respiratory Health Division
ShareCompartir