Skip directly to local search Skip directly to A to Z list Skip directly to navigation Skip directly to site content Skip directly to page options
CDC Home

Digital Press Kit

CDC Responds to Multistate Meningitis Outbreak

Photos

Back to the Digital Press Kit
A village in Truenococha, Peru

CDC scientist Steven Hurst prepares tubes for inoculation of material suspected to contain fungal organisms during the multistate meningitis outbreak.

Caption here

CDC scientist Carol Bolden examines microscopic slides showing Exserohilum rostratum (on screen) during the multistate meningitis outbreak.

One of the South American locations with incidences of rabies

CDC scientist Christina Scheel processes spinal fluid samples for molecular testing during the multistate meningitis outbreak.

Photo of mulitple bats

CDC scientist Naureen Iqbal reads results of antifungal drug susceptibility testing during the multistate meningitis outbreak.

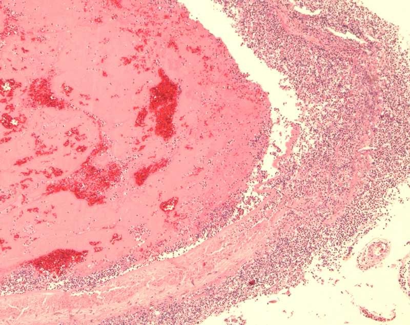
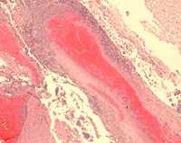
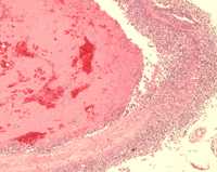
Microscopic examination of tissue from meningitis patients

Microscopic examination of tissue from patients with clinical cases of meningitis show evidence of pus, inflammation of blood vessels, dying tissue, and blood clots.

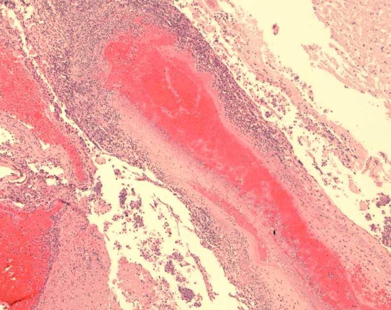
Microscopic examination of tissue from meningitis patients

Microscopic examination of tissue from patients with clinical cases of meningitis show evidence of pus, inflammation of blood vessels, dying tissue, and blood clots.

Field worker examining a bat

During the multistate meningitis outbreak, a plate shows results of susceptibility testing to the antifungal drug amphotericin B. The drug inhibits growth of Exserohilum in the clear area where the amphotericin drug has diffused into the medium. Exserohilum is growing elsewhere on the plate.

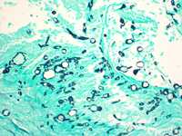
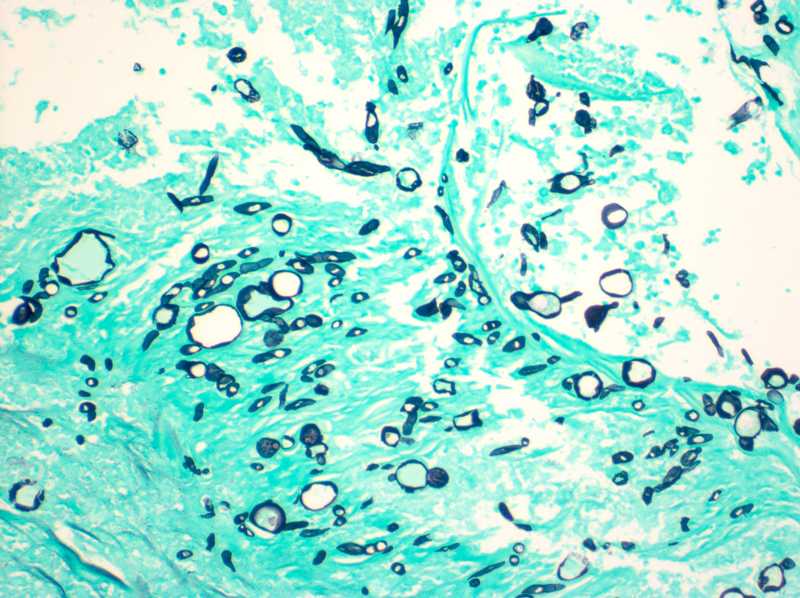
Microscopic examination of tissue from meningitis patients

Special stains were used for microscopic examination of brain tissue from patients with clinical cases of meningitis. The black objects seen in these images is fungus.

Microscopic examination of tissue from meningitis patients

Special stains were used for microscopic examination of brain tissue from patients with clinical cases of meningitis. The black objects seen in these images is fungus.

 
CDC 24/7 – Saving Lives. Protecting People. Saving Money Through Prevention. Learn More About How CDC Works For You…
Contact Us:
  • Centers for Disease Control and Prevention
    1600 Clifton Rd
    Atlanta, GA 30333
  • 800-CDC-INFO
    (800-232-4636)
    TTY: (888) 232-6348
  • Contact CDC-INFO
USA.gov: The U.S. Government's Official Web PortalDepartment of Health and Human Services
Centers for Disease Control and Prevention   1600 Clifton Road Atlanta, GA 30329-4027, USA
800-CDC-INFO (800-232-4636) TTY: (888) 232-6348 - Contact CDC–INFO
A-Z Index
  1. A
  2. B
  3. C
  4. D
  5. E
  6. F
  7. G
  8. H
  9. I
  10. J
  11. K
  12. L
  13. M
  14. N
  15. O
  16. P
  17. Q
  18. R
  19. S
  20. T
  21. U
  22. V
  23. W
  24. X
  25. Y
  26. Z
  27. #