Información para profesionales de la salud sobre la fiebre del valle (coccidioidomicosis)
Características clínicas
Las personas sintomáticas (40 % de los casos), 1 a 3 semanas después de la exposición suelen presentar fatiga, tos, disnea, cefalea, sudores nocturnos, mialgias y sarpullido.1-3 La enfermedad pulmonar primaria a menudo se resuelve espontáneamente, pero algunos pacientes no se recuperan y presentan complicaciones o enfermedad pulmonar crónica (aproximadamente del 5 al 10 % de los casos). La enfermedad diseminada ocurre en aproximadamente el 1 % de los casos (se observan tasas más elevadas de diseminación en ciertos grupos de riesgo), siendo más comúnmente afectados huesos/articulaciones, tejidos blandos y meninges.
Agente etiológico
Coccidioides immitis (típicamente en California) y Coccidioides posadasii (típicamente fuera de California).4 No se han observado diferencias clínicas entre las dos especies.
Huésped y áreas endémicas
Suelos en el Suroeste de los EE. UU., partes de México y América del Sur. Las zonas altamente endémicas incluyen el sur de Arizona y la zona sureña del valle de San Joaquín en California.
Transmisión
La coccidioidomicosis típicamente se adquiere tras la inhalación de artroconidias en el aire, generalmente cuando se alteran los suelos contaminados (p. ej., durante actividades a pequeña escala, como construcción o excavación, o eventos a grande escala como tormentas de polvo y terremotos). Si bien son muy poco frecuentes, también se puede producir coccidioidomicosis cutánea primaria,5coccidioidomicosis derivada de trasplante de vísceras macizas,6y coccidioidomicosis transmitida por vectores pasivos.7-8
Secuelas
Los síntomas pueden persistir durante meses o más en las personas que presentan la enfermedad progresiva, crónica o diseminada. La meningitis puede conducir a daño neurológico permanente. Es alta la mortalidad en las personas que tienen enfermedad pulmonar difusa y están infectadas con el VIH.
Diagnóstico
Las pruebas serológicas de detección de los anticuerpos IgM e IgG son las que se usan con más frecuencia para hacer el diagnóstico de coccidioidomicosis.9 Otros métodos incluyen cultivos y microscopias.
- Serología:
- Enzimoinmunoanálisis (EIA) Método muy sensible que se usa comúnmente para el diagnóstico de coccidioidomicosis. Hay dos EIA para la detección de Coccidioides disponibles en la actualidad:
- Premier® Coccidioides EIA.— Fabricado por Meridian Bioscience, Inc.
- Enzimoinmunoanálisis para la detección de anticuerpos para Coccidioides.— Fabricado por Immuno Mycologics, Inc. (IMMY)
- Inmunodifusión (ID): detecta los anticuerpos IgM; da positivo en la etapa inicial de la infección.
- Fijación del complemento para Coccidioides: detecta anticuerpos IgG y permite evaluar la gravedad de la enfermedad.
- Enzimoinmunoanálisis (EIA) Método muy sensible que se usa comúnmente para el diagnóstico de coccidioidomicosis. Hay dos EIA para la detección de Coccidioides disponibles en la actualidad:
- Cultivo: Se puede realizar sobre tejidos y muestras respiratorias; sin embargo, puede ser difícil de obtener esputo para cultivo debido a que frecuentemente la tos de los pacientes no produce expectoración.
- Microscopia: para la detección de esférulas en el tejido o en las secreciones respiratorias; de baja sensibilidad.
- Detección de antígenos en orina: No se usa comúnmente, pero puede servir para diagnosticar la coccidioidomicosis en pacientes inmunodeprimidos que presentan las formas graves de la enfermedad.10
- Reacción en cadena de la polimerasa (RCP): La RCP para la detección de Coccidioides directamente desde muestras clínicas sigue en etapa de investigación, pero se muestra prometedora.11,12
Cultivos de Coccidioides immitis en laboratorio
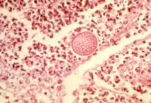
Tejidos pulmonares con esférulas de Coccidioides
Tratamiento
No hay evidencia proveniente de estudios aleatorizados para determinar si el tratamiento antifúngico contra la coccidioidomicosis no complicada reduce la duración de los síntomas o previene las complicaciones. Algunas infecciones desaparecerán sin tratamiento antifúngico. Las directrices de la Sociedad Estadounidense de Enfermedades Infecciosas (IDSA, por sus siglas en inglés) indican tratamiento para los pacientes con coccidioidomicosis pulmonar primaria que cumplan con los siguientes criterios:
- Estén inmunodeprimidos.
- Tengan alguna enfermedad grave o significativamente debilitante.
- Tengan diabetes o sean frágiles debido a su edad o comorbilidades.
- Estén embarazadas.
- Sean de origen africano o filipino.
La coccidiomicosis diseminada requiere tratamiento antifúngico, típicamente con fluconazol o amfotericina B. Para obtener pautas de tratamiento más detalladas, por favor consulte las Directrices clínicas para el tratamiento de coccidioidomicosis de la Sociedad Estadounidense de Enfermedades Infecciosas.
Grupos de riesgo
Las personas en las zonas endémicas, particularmente aquellas cuyas ocupaciones o actividades las exponen al polvo (p. ej., los trabajadores de la construcción y de la agricultura, los arqueólogos y los militares en entrenamiento). Los factores de riesgo para la coccidioidomicosis grave o diseminada incluyen ser de raza negra13 o de origen étnico filipino,14 tener el VIH/sida,15usar medicamentos inmunosupresores,16 recibir trasplante de órganos,17 tener diabetes mellitus,13o estar embarazada.18
Vigilancia y datos estadísticos
La coccidioidomicosis es una enfermedad notificable a nivel nacional y que se debe reportar en los siguientes estados: Arizona, Arkansas, California, Dakota del Norte, Dakota del Sur, Delaware, Luisiana, Maryland, Michigan, Minnesota, Misuri, Montana, Nebraska, Nevada, Nuevo Hampshire, Nuevo México, Ohio, Oregón, Rhode Island, Utah, Washington y Wyoming. Consulte con el departamento de salud pública de su localidad, territorio o estado para obtener más información sobre las obligaciones y los procedimientos de notificación en su área. Haga clic aquí para ver las estadísticas sobre la coccidioidomicosis.
Áreas de investigación futura
- Determinación del régimen de tratamiento óptimo para la coccidioidomicosis pulmonar primaria
- Identificación de los factores del huésped que se asocian a un mayor riesgo de diseminación en determinados grupos raciales o étnicos a fin de concentrar en estos grupos los esfuerzos de prevención
- Comprensión de los factores asociados a la creciente incidencia en las áreas endémicas
- Determinación de la influencia que tiene el cambio climático en la distribución geográfica del Coccidioides
- Creación de mejores métodos de detección de Coccidioides en muestras ambientales
- Elaboración de una vacuna eficaz
Otros recursos
Referencias
- Galgiani JN, Ampel NM, Blair JE, et al. Coccidioidomycosis. Clin Infect Dis 2005;41:1217-23.
- Crum NF, Lederman ER, Stafford CM, Parrish JS, Wallace MR. Coccidioidomycosis: a descriptive survey of a reemerging disease. Clinical characteristics and current controversies. Medicine 2004;83:149-75.
- Thompson GR, 3rd. Pulmonary coccidioidomycosis. Semin Respir Crit Care Med 2011;32:754-63.
- Fisher MC, Koenig GL, White TJ, Taylor JW. Molecular and phenotypic description of Coccidioides posadasii sp. nov., previously recognized as the non-California population of Coccidioides immitis. Mycologia. 2002 Jan-Feb;94(1):73-84.
- Chang A, Tung RC, McGillis TS, Bergfeld WF, Taylor JS. Primary cutaneous coccidioidomycosis. J Am Acad Dermatol. 2003 Nov;49(5):944-9.
- Dierberg KL, Marr KA, Subramanian A, Nace H, Desai N, Locke JE, et al. Donor-derived organ transplant transmission of coccidioidomycosis. Transpl Infect Dis. 2012 Jun;14(3):300-4.
- Dweik M, Baethge BA, Duarte AG. Coccidioidomycosis pneumonia in a nonendemic area associated with infliximab. South Med J. 2007 May;100(5):517-8.
- Stagliano D, Epstein J, Hickey P. Fomite-transmitted coccidioidomycosis in an immunocompromised child. The Pediatric infectious disease journal. 2007 May;26(5):454-6.
- Ampel NM. The diagnosis of coccidioidomycosis. F1000 Med Rep. 2010
- Durkin M, P C, T K, R M, BM K, D B, et al. Diagnosis of Coccidioidomycosis with Use of the Coccidioides Antigen Enzyme Immunoassay. Clin Infect Dis. 2008;47:e69-73.
- Binnicker MJ, Buckwalter SP, Eisberner JJ, Stewart RA, McCullough AE, Wohlfiel SL, et al. Detection of Coccidioides species in clinical specimens by real-time PCR. J Clin Microbiol. 2007 Jan;45(1):173-8.
- Sheff KW, York ER, Driebe EM, et al. Development of a rapid, cost-effective TaqMan Real-Time PCR Assay for identification and differentiation of Coccidioides immitis and Coccidioides posadasii. Med Mycol 2009;48:466-469.
- Rosenstein NE, Emery KW, Werner SB, Kao A, Johnson R, Rogers D, et al. Risk factors for severe pulmonary and disseminated coccidioidomycosis: Kern County, California, 1995-1996. Clin Infect Dis. 2001 Mar 1;32(5):708-15.
- Crum NF, Lederman ER, Stafford CM, Parrish JS, Wallace MR. Coccidioidomycosis: a descriptive survey of a reemerging disease. Clinical characteristics and current controversies. Medicine 2004;83:149-75.
- Woods CW, McRill C, Plikaytis BD, Rosenstein NE, Mosley D, Boyd D, et al. Coccidioidomycosis in human immunodeficiency virus-infected persons in Arizona, 1994-1997: incidence, risk factors, and prevention. J Infect Dis. 2000 Apr;181(4):1428-34.
- Bergstrom L, Yocum DE, Ampel NM, Villanueva I, Lisse J, Gluck O, et al. Increased risk of coccidioidomycosis in patients treated with tumor necrosis factor alpha antagonists. Arthritis and rheumatism. 2004 Jun;50(6):1959-66.
- Blair JE, Logan JL. Coccidioidomycosis in solid organ transplantation. Clin Infect Dis. 2001 Nov 1;33(9):1536-44.
- Bercovitch RS, Catanzaro A, Schwartz BS, Pappagianis D, Watts DH, Ampel NM. Coccidioidomycosis during pregnancy: a review and recommendations for management. Clin Infect Dis. 2011 Aug;53(4):363-8.
Ayuda con formatos de archivos:
¿Cómo se visualizan los diferentes formatos de archivos (PDF, DOC, PPT, MPEG) en este sitio?- Esta página fue revisada el: 27 de enero de 2017
- Esta página fue modificada el: 27 de enero de 2017
- Fuente del contenido:
ShareCompartir