Virus

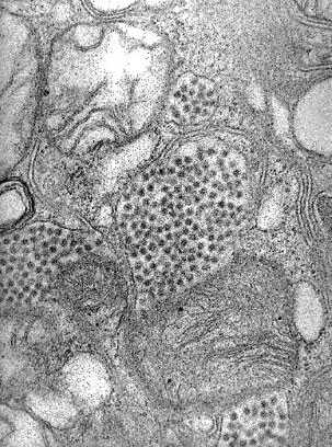
Eastern equine encephalitis virus (EEEV) is a member of the genus Alphavirus, family Togaviridae. Other medically important alphaviruses found in the Americas include Western equine encephalitis virus (WEEV) and Venezuelan equine encephalitis virus (VEEV). EEEV has a single-stranded, positive-sense RNA genome. The virus particles are spherical and have a diameter of 60-65 nm. Of the four lineages of EEEV, Group I is endemic in North America and the Caribbean and causes most human disease cases; the other three groups (IIA, IIB, and III) cause primarily equine illness in Central and South America.
- Page last reviewed: April 5, 2016
- Page last updated: April 5, 2016
- Content source:
ShareCompartir