Skip directly to search Skip directly to A to Z list Skip directly to navigation Skip directly to page options Skip directly to site content
bannermenu

Taeniasis

[Taenia asiatica] [Taenia saginata] [Taenia solium]

Causal Agents

The cestodes Taenia saginata (beef tapeworm), T. solium (pork tapeworm) and T. asiatica (Asian tapeworm). Taenia solium can also cause cysticercosis.


Life Cycle

lifecycle

Taeniasis is the infection of humans with the adult tapeworm of Taenia saginata, T. solium or T. asiatica. Humans are the only definitive hosts for these three species. Eggs or gravid proglottids are passed with feces The number 1; the eggs can survive for days to months in the environment. Cattle (T. saginata) and pigs (T. solium and T. asiatica) become infected by ingesting vegetation contaminated with eggs or gravid proglottids The number 2. In the animal's intestine, the oncospheres hatch The number 3, invade the intestinal wall, and migrate to the striated muscles, where they develop into cysticerci. A cysticercus can survive for several years in the animal. Humans become infected by ingesting raw or undercooked infected meat The number 4. In the human intestine, the cysticercus develops over 2 months into an adult tapeworm, which can survive for years. The adult tapeworms attach to the small intestine by their scolex The number 5 and reside in the small intestine The number 6. Length of adult worms is usually 5 m or less for T. saginata (however it may reach up to 25 m) and 2 to 7 m for T. solium. The adults produce proglottids which mature, become gravid, detach from the tapeworm, and migrate to the anus or are passed in the stool (approximately 6 per day). T. saginata adults usually have 1,000 to 2,000 proglottids, while T. solium adults have an average of 1,000 proglottids. The eggs contained in the gravid proglottids are released after the proglottids are passed with the feces. T. saginata may produce up to 100,000 and T. solium may produce 50,000 eggs per proglottid respectively.

Geographic Distribution

Taenia saginata and T. solium are worldwide in distribution. Taenia solium is more prevalent in poorer communities where humans live in close contact with pigs and eat undercooked pork. Taenia asiatica is limited to Asia and is seen mostly in the Republic of Korea, China, Taiwan, Indonesia, and Thailand.

Clinical Presentation

Taenia saginata taeniasis produces only mild abdominal symptoms. The most striking feature consists of the passage (active and passive) of proglottids. Occasionally, appendicitis or cholangitis can result from migrating proglottids. Taenia solium taeniasis is less frequently symptomatic than Taenia saginata taeniasis. The main symptom is often the passage (passive) of proglottids. The most important feature of Taenia solium taeniasis is the risk of development of cysticercosis.

Taenia spp. eggs.

 

The eggs of Taenia spp. are indistinguishable from each other, as well as from other members of the Taeniidae. The eggs measure 30-35 micrometers in diameter and are radially-striated. The internal oncosphere contains six refractile hooks.
	Figure A

Figure A: Taenia sp. eggs in unstained wet mounts.

	Figure B

Figure B: Taenia sp. egg in unstained wet mounts.

	Figure C

Figure C: Iodine-stained wet mount of a Taenia sp. egg. Image courtesy of the Oregon State Public Health Laboratory.

	Figure D

Figure D: Iodine-stained wet mount of a Taenia sp. egg. Image courtesy of the Oregon State Public Health Laboratory.

	Figure E

Figure E: Unstained Taenia sp. egg, teased from a proglottid of an adult. Four hooks can easily be seen in this image.

Taenia spp. scoleces.

 

The scolex of T. solium contains four large suckers and a rostellum containing two rows of large and small hooks. There are usually 13 hooks of each size. The scolex of T. saginata has four large suckers but lacks the rostellum and rostellar hooks. The scolex of T. asiatica possesses rudimentary hooklets in a wart-like formation.
	Figure A

Figure A: Scolex of T. solium. Note the four large suckers and rostellum containing two rows of hooks.

	Figure B

Figure B: Scolex of T. solium. Note the four large suckers and rostellum containing two rows of hooks.

	Figure C

Figure C: Scolex of T. saginata. Note the four large suckers and lack of rostellum and rostellar hooks.

Taenia spp. proglottids.

 

Gravid proglottids are longer than wide and the two species, T. solium and T. saginata, differ in the number of primary lateral uterine branches: T. solium contains 7-13 lateral branches and T. saginata 12-30 lateral branches. Proglottids of T. asiatica are similar to T. saginata and possess more than 12 primary uterine branches.
	Figure A

Figure A: Mature proglottid of T. saginata, stained with carmine. Note the number of primary uterine branches (>12).

	Figure B

Figure B: Mature proglottid of T. saginata, stained with India ink. Note the number of primary uterine branches (>12). Image courtesy of the Orange County Public Health Laboratory, Santa Ana, CA.

	Figure C

Figure C: Mature proglottid of T. solium, stained with carmine. Note the number of primary uterine branches (<13).

	Figure D

Figure D: Mature proglottid of T. solium, stained with India ink. Note the number of primary uterine branches (<13) in the lower specimen.

	Figure E

Figure E: Proglottid of T. saginata unstained. Image courtesy of the Oregon State Public Health Laboratory.

	Figure F

Figure F: The same proglottid as in Figure E injected with India ink, demonstrating the number of primary uterine branches (>12). Image courtesy of the Oregon State Public Health Laboratory.

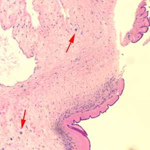
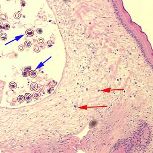
Cross-sections of Taenia spp. stained with hematoxylin and eosin (H&E).

	Figure A

Figure A: Cross-section of a proglottid of Taenia sp., stained with H&E. Note the thick outer tegument and the loose parenchyma filling the body. Calcareous corpuscles (red arrows), characteristic of the cestodes, can be seen in the parenchyma. Image courtesy of the Washington State Public Health Laboratories.

	Figure B

Figure B: Cross-section of a proglottid of Taenia sp., stained with H&E. Note the thick outer tegument and the loose parenchyma filling the body. Calcareous corpuscles (red arrows), characteristic of the cestodes, can be seen in the parenchyma. Eggs (blue arrows) can also be seen. Image courtesy of the Washington State Public Health Laboratories.

	Figure C

Figure C: Higher magnification of the image in Figure B, showing a close-up of the eggs. Note the characteristic striations, typical for the taeniids. Not visible in these images are the hooks commonly seen in cestode eggs. Hooks do not stain with H&E but are refractile and are visible with fine focusing of the microscope

	Figure D

Figure D: Higher magnification of the image in Figure B, showing a close-up of the eggs. Note the characteristic striations, typical for the taeniids. Not visible in these images are the hooks commonly seen in cestode eggs. Hooks do not stain with H&E but are refractile and are visible with fine focusing of the microscope.

	Figure E

Figure E: Close-up of a cross-section of a Taenia sp. proglottid stained with H&E, showing numerous calcareous corpuscles (yellow arrows). Image courtesy of the Michael E. DeBakey V. A. Medical Center in Houston, TX.

	Figure F

Figure F: Close-up of a cross-section of a Taenia sp. proglottid stained with H&E, showing numerous calcareous corpuscles. Image courtesy of Ameripath.

	Figure A

Figure A: Cross-section of a proglottid of Taenia sp., stained with H&E. Note the thick outer tegument and the loose parenchyma filling the body. Calcareous corpuscles (red arrows), characteristic of the cestodes, can be seen in the parenchyma. Image courtesy of the Washington State Public Health Laboratories.

	Figure B

Figure B: Cross-section of a proglottid of Taenia sp., stained with H&E. Note the thick outer tegument and the loose parenchyma filling the body. Calcareous corpuscles (red arrows), characteristic of the cestodes, can be seen in the parenchyma. Eggs (blue arrows) can also be seen. Image courtesy of the Washington State Public Health Laboratories.

	Figure C

Figure C: Higher magnification of the image in Figure B, showing a close-up of the eggs. Note the characteristic striations, typical for the taeniids. Not visible in these images are the hooks commonly seen in cestode eggs. Hooks do not stain with H&E but are refractile and are visible with fine focusing of the microscope

	Figure D

Figure D: Higher magnification of the image in Figure B, showing a close-up of the eggs. Note the characteristic striations, typical for the taeniids. Not visible in these images are the hooks commonly seen in cestode eggs. Hooks do not stain with H&E but are refractile and are visible with fine focusing of the microscope.

	Figure E

Figure E: Close-up of a cross-section of a Taenia sp. proglottid stained with H&E, showing numerous calcareous corpuscles (yellow arrows). Image courtesy of the Michael E. DeBakey V. A. Medical Center in Houston, TX.

	Figure F

Figure F: Close-up of a cross-section of a Taenia sp. proglottid stained with H&E, showing numerous calcareous corpuscles. Image courtesy of Ameripath.

Taenia spp. adults.

 

Adults can reach a length of 2-8 meters, but the scolex is only 1-2 millimeters in diameter.
	Figure A

Figure A: Taenia saginata adult worm. The adult in this image is approximately 4 meters in length.

	Figure B

Figure B: Taenia saginata adult worm.

Laboratory Diagnosis

Microscopy

Microscopic identification of eggs and proglottids in feces is diagnostic for taeniasis, but is not possible during the first 3 months following infection, prior to development of adult tapeworms. Repeated examination and concentration techniques will increase the likelihood of detecting light infections. Nevertheless, identification of Taenia is not possible if solely based on microscopic examination of eggs, because all Taenia species produce eggs that are morphologically identical. Eggs of Taenia spp. are also indistinguishable from those produced by cestodes of the genus Echinococcus (tapeworms of dogs and other canid hosts). Microscopic identification of gravid proglottids (or, more rarely, examination of the scolex) allows species determination.

TAKE EXTREME CARE IN PROCESSING THE SPECIMENS! INGESTION OF EGGS CAN RESULT IN CYSTICERCOSIS!

Mature proglottid of T. saginata, stained with India ink. Note the number of primary uterine branches (>12). Image courtesy of the Orange County Public Health Laboratory, Santa Ana, CA.

Figure B: Mature proglottid of T. saginata, stained with India ink. Note the number of primary uterine branches (>12). Image courtesy of the Orange County Public Health Laboratory, Santa Ana, CA.

Separation of T. saginata and T. solium is best accomplished by examination of mature proglottids.  Taenia saginata has 12-30 primary lateral uterine branches, while T. solium has 7-13 primary lateral uterine branches. Visualization of the branches can be improved by clearing the specimen in lactophenol followed by India ink injection into the lateral genital pore. The procedure is as follows:

  1. Clear the formalin-fixed proglottids in lactophenol (50/50 liquefied phenol crystals in lactic acid) for at least 30 minutes (thicker specimen may take a few hours to overnight).
  2. Gently sandwich the proglottids between two glass microscope slides, with the genital pore exposed along the edge of the two slides.
  3. Using a small gauge (25 or 27 g) tuberculin syringe, slowly inject India ink into the genital pore.
  4. Allow the ink to flow down the uterine stem and into the primary uterine branches.
  5. Count the number of primary uterine branches to determine the species (7-13 for T. solium and 12-30 for T. saginata).

Antibody detection

May prove useful especially in the early invasive stages, when the eggs and proglottids are not yet apparent in the stools.

More on: Morphologic comparison with other intestinal parasites

Treatment Information

Praziquantel is the medication most often used to treat active taeniasis, given at 5-10 mg/kg orally once for adults and 5-10 mg/kg orally once for children. If the patient has cysticercosis in addition to taeniasis, praziquantel should be used with caution. Praziquantel is cysticidal and can cause inflammation around dying cysts in those with cysticercosis, which may lead to seizures or other symptoms. Niclosamide is an alternative, given at 2 g orally once for adults and 50 mg/kg orally once for children. After treatment, stools should be collected for 3 days to search for tapeworm proglottids for species identification. Stools should be re-examined for Taenia eggs 1 and 3 months after treatment to be sure the infection is cleared.

Praziquantel

Oral praziquantel is available for human use in the United States.

Praziquantel is pregnancy category B. There are no adequate and well-controlled studies in pregnant women. However, the available evidence suggests no difference in adverse birth outcomes in the children of women who were accidentally treated with praziquantel during mass prevention campaigns compared with those who were not. In mass prevention campaigns for which the World Health Organization (WHO) has determined that the benefit of treatment outweighs the risk, WHO encourages the use of praziquantel in any stage of pregnancy. For individual patients in clinical settings, the risk of treatment in pregnant women who are known to have an infection needs to be balanced with the risk of disease progression in the absence of treatment.

Pregnancy Category B: Either animal-reproduction studies have not demonstrated a fetal risk but there are no controlled studies in pregnant women or animal-reproduction studies have shown an adverse effect (other than a decrease in fertility) that was not confirmed in controlled studies in women in the first trimester (and there is no evidence of a risk in later trimesters).

Praziquantel is excreted in low concentrations in human milk. According to WHO guidelines for mass prevention campaigns, the use of praziquantel during lactation is encouraged. For individual patients in clinical settings, praziquantel should be used in breast-feeding women only when the risk to the infant is outweighed by the risk of disease progress in the mother in the absence of treatment.

The safety of praziquantel in children aged less than 4 years has not been established. Many children younger than 4 years old have been treated without reported adverse effects in mass prevention campaigns and in studies of schistosomiasis. For individual patients in clinical settings, the risk of treatment of children younger than 4 years old who are known to have an infection needs to be balanced with the risk of disease progression in the absence of treatment.

Niclosamide

Niclosamide is NOT available for human use in the United States.

Niclosamide is in pregnancy category B. Data on the use of niclosamide in pregnant women are limited. Niclosamide is not thought to be systemically absorbed. Niclosamide should be used during pregnancy only if the potential benefit justifies the potential risk to the fetus.

Pregnancy Category B: Either animal-reproduction studies have not demonstrated a fetal risk but there are no controlled studies in pregnant women or animal-reproduction studies have shown an adverse effect (other than a decrease in fertility) that was not confirmed in controlled studies in women in the first trimester (and there is no evidence of a risk in later trimesters).

It is not known whether niclosamide is excreted in breast milk, although niclosamide is not thought to be systemically absorbed. The World Health Organization (WHO) classifies niclosamide as compatible with breastfeeding, although data on the use of niclosamide during lactation are limited.

The safety of niclosamide in children has not been established, although niclosamide is not thought to be systemically absorbed. Available evidence suggests that the safety profiles are comparable in children 2 years or older and adults.

DPDx is an education resource designed for health professionals and laboratory scientists. For an overview including prevention and control visit www.cdc.gov/parasites/.

  • Page last reviewed: May 3, 2016
  • Page last updated: May 3, 2016
  • Content source:
  • Maintained By:
Top