Sarcocystosis
[Sarcocystis hominis] [Sarcocystis suihominis] [Sarcocystis spp.]
Causal Agents
Sarcocystis hominis and S. suihominis use humans as definitive hosts and are responsible for intestinal sarcocystosis in the human host. Humans may also become dead-end hosts for non-human Sarcocystis spp. after the accidental ingestion of oocysts.
Life Cycle

Both sporulated oocysts (containing two sporocysts) and individual sporocysts can be passed in stool
. Sporocysts contain four sporozoites and a refractile residual body. Sporocysts ingested by the intermediate host (cattle for S. hominis and pigs for S. suihominis) rupture, releasing sporozoites. Sporozoites enter endothelial cells of blood vessels and undergo schizogony, resulting in first-generation schizonts. Merozoites derived from the first-generation invade small capillaries and blood vessels, becoming second-generation schizonts. The second generation merozoites invade muscle cells and develop into sarcocysts containing bradyzoites, which are the infective stage for the definitive host
. Humans become infected when they eat undercooked meat containing these sarcocysts. Bradyzoites are released from ruptured cysts in the small intestine
and invade the lamina propria of the intestinal epithelium
. There, they differentiate into macro- and microgametocytes. Fusion of male and female gametes
results in the formation of oocysts
. Oocysts sporulate in the intestinal epithelium and are shed from the host in feces
. Due to the fragile nature of the oocyst wall, individual sporocysts may also be detected in feces.
Geographic Distribution
Worldwide, but more common in areas where livestock is raised.
Clinical Presentation
In cases of intestinal sarcocystosis, when humans serve as the definitive hosts, infections are often asymptomatic and clear spontaneously. Occasionally, mild fever, diarrhea, chills, vomiting and respiratory problems may occur. When humans become infected with sarcocysts of non-human species, the infections are not intestinal but rather result in muscle cysts; symptoms such as myalgia, muscle weakness and transitory edema may occur. In these cases, humans are dead-end intermediate hosts.
Sarcocystis oocysts in wet mounts.
Figure A: Sporulated oocyst of Sarcocystis sp. in an unstained wet mount, magnification 400x.
Figure B: Individual sporocyst of Sarcocystis sp. in an unstained wet mount, magnification 400x.
Figure C: Sporulated oocyst of Sarcocystis sp. in unstained wet mounts, magnification 400x.
Figure D: Sporulated oocyst of Sarcocystis sp. in unstained wet mounts, magnification 400x.
Sarcocystis oocysts in wet mounts viewed under differential interference contrast (DIC).
Figure A: Sporulated oocyst of Sarcocystis sp. in a wet mount viewed under differential interference contrast (DIC) microscopy, magnification 400x.
Figure B: Individual sporocyst of Sarcocystis sp. in a wet mount viewed under DIC microscopy, magnification 400x.
Figure C: Sporulated oocyst of Sarcocystis sp. in a wet mount viewed under DIC microscopy, magnification 400x.
Sarcocystis oocysts in wet mounts viewed under ultraviolet (UV) microscopy.
Figure A: Sporulated oocyst of Sarcocystis sp. in a wet mount viewed under UV microscopy, magnification 400x.
Figure B: Sporulated oocyst of Sarcocystis sp. in a wet mount viewed under UV microscopy, magnification 400x.
Figure C: Individual sporocyst of Sarcocystis sp. in a wet mount viewed under UV microscopy, magnification 400x.
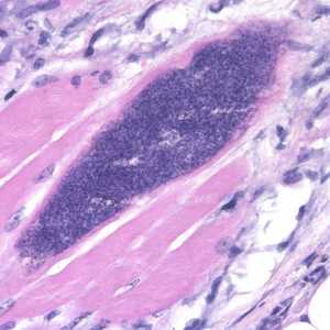
Sarcocystis sarcocysts in tissue.
Figure A: Sarcocysts of Sarcocystis sp. in muscle tissue, stained with hematoxylin and eosin (H&E). Notice the bradyzoites within each sarcocyst. Images courtesy of the William Beaumont Hospital, Royal Oak, MI.
Figure B: Sarcocysts of Sarcocystis sp. in muscle tissue, stained with hematoxylin and eosin (H&E). Notice the bradyzoites within each sarcocyst. Images courtesy of the William Beaumont Hospital, Royal Oak, MI.
Figure C: Sarcocysts of Sarcocystis sp. in muscle tissue, stained with H&E. Image courtesy of the William Beaumont Hospital, Royal Oak, MI.
Figure D: Higher magnification of one of the Sarcocystis in Figure C, showing many bradyzoites.
Figure E: Sarcocyst of Sarcocystis sp. in muscle tissue, stained with H&E (magnification 500x).
Figure F: Higher magnification (1000x) of the Sarcocystis in Figure E, showing many bradyzoites.
Laboratory Diagnosis
For intestinal sarcocystosis caused by S. hominis and S. suihominis, diagnosis is made by the observation of oocysts or sporocysts in stool. They are easily overlooked as they are often shed in small numbers. Also, the two species cannot be separated by oocyst or sporocyst morphology. When humans serve as dead-end hosts for non-human Sarcocystis spp., diagnosis is made by the finding of sarcocysts in tissue specimens.
Treatment Information
Currently, there is no proven prophylaxis or therapeutic treatment for either intestinal or tissue sarcocystosis. Albendazole was reported to be efficacious in one case (Arness et al, Am J Trop Med Hyg 1999;61:548-53).
DPDx is an education resource designed for health professionals and laboratory scientists. For an overview including prevention and control visit www.cdc.gov/parasites/.
- Page last reviewed: May 3, 2016
- Page last updated: May 3, 2016
- Content source:
- Global Health – Division of Parasitic Diseases and Malaria
- Notice: Linking to a non-federal site does not constitute an endorsement by HHS, CDC or any of its employees of the sponsors or the information and products presented on the site.
- Maintained By:
ShareCompartir