Case #426 - August 2016
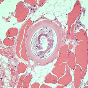
A hunter prepared dried jerky from fresh bear meat and provided some to a group of friends. Most developed moderate to severe abdominal pain, nausea, and fatigue within 48 hours. Some of the bear meat was submitted for laboratory testing. Images of stained histological sections of bear meat were sent to the DPDx Team for confirmation of parasites. Figures A and C were taken at 200x magnification; Figures B, D, and E were taken at 400x magnification. What is your diagnosis? Based on what criteria?
Figure A
Figure B
Figure C
Figure D
Figure E
Case Answer
The objects observed in the meat were larvae of Trichinella sp. Diagnostic features included;
- the presence of encapsulated, coiled nematode larvae within the meat (encapsulation is consistent with some Trichinella spp.)
- the presence of nucleated stichocytes (Figure E; arrow).

More on: Trichinella
Acknowledgements
These images were kindly provided by The Public Health Laboratory, Toronto, Ontario, Canada
DPDx is an education resource designed for health professionals and laboratory scientists. For an overview including prevention and control visit www.cdc.gov/parasites/.
- Page last reviewed: August 24, 2016
- Page last updated: August 24, 2016
- Content source:
- Global Health – Division of Parasitic Diseases and Malaria
- Notice: Linking to a non-federal site does not constitute an endorsement by HHS, CDC or any of its employees of the sponsors or the information and products presented on the site.
- Maintained By:
ShareCompartir